免费电话:400-9961-933
邮箱:info@sabbiotech.com
欢迎光临本站
川博智能体 English
位置: 首页 > 重组兔单抗 > PGAM1 Rabbit mAb

PGAM1 Rabbit mAb#49976

是否有货: Yes
产品详情

产品名称PGAM1 Rabbit mAb

克隆号JE40-67

来源种属Recombinant Rabbit

克隆性 Monoclonal antibody

纯化ProA affinity purified

应用WB,IHC,FC

种属反应性Human;Mouse;Rat

标记Unconjugated

别名BPG dependent PGAM 1 antibody
BPG dependent PGAM1 antibody
BPG-dependent PGAM 1 antibody
OTTHUMP00000059414 antibody
PGAM 1 antibody
PGAM A antibody
PGAM B antibody
PGAM-B antibody
PGAM1 antibody
PGAM1_HUMAN antibody
PGAMA antibody
PGAMB antibody
Phosphoglycerate mutase 1 antibody
Phosphoglycerate mutase 1 brain antibody
Phosphoglycerate mutase A antibody
Phosphoglycerate mutase A nonmuscle form antibody
Phosphoglycerate mutase isozyme B antibody

数据库入口号Swiss-Prot#:P18669

Uniprot P18669

计算分子量29 kDa

配方1*TBS (pH7.4), 1%BSA, 40%Glycerol. Preservative: 0.05% Sodium Azide.

保存Store at -20˚C

应用详情
WB: 1:500-1:2,000
IHC: 1:50-1:100


FC: 1:50-1:100
Western blot analysis of PGAM1 on different lysates using anti-PGAM1 antibody at 1/2,000 dilution.
Positive control:
Lane 1: A431
Lane 2: A549
Lane 3: Rat brain
Lane 4: Mouse brain
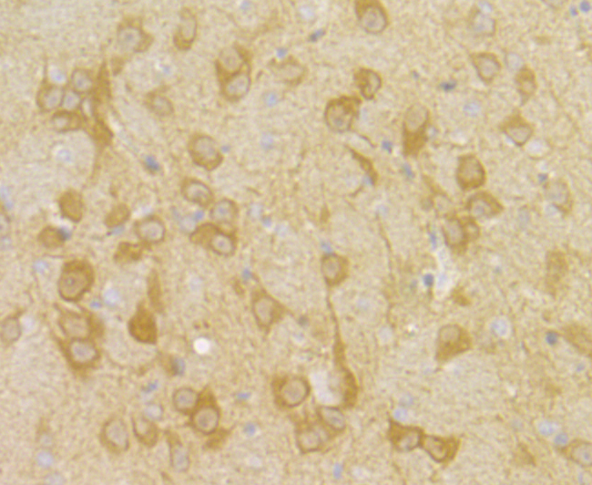
Immunohistochemical analysis of paraffin-embedded rat brain tissue using anti-PGAM1 antibody. Counter stained with hematoxylin.
Immunohistochemical analysis of paraffin-embedded human liver tissue using anti-PGAM1 antibody. Counter stained with hematoxylin.
Flow cytometric analysis of Jurkat cells with PGAM1 antibody at 1/100 dilution (purple) compared with an unlabelled control (cells without incubation with primary antibody; yellow). Alexa Fluor 488-conjugated goat anti-rabbit IgG was used as the secondary antibody.
Members of the PGAM (phosphoglycerate mutase) family of proteins are important components of glucose and 2,3-BPGA (2,3-bisphosphoglycerate) metabolism. They are responsible for catalyzing the transfer of phospho groups between the carbon atoms of phosphoglycerates. In mammals there are two types of PGAM isozymes: PGAM1 (also known as PGAMB) and PGAM2 (also known as PGAMA). In the cell, PGAM1 and PGAM2 exist as either homodimers or heterodimers and are responsible for the interconversion of 3-phosphoglycerate and 2-phosphoglycerate. PGAM2 homodimers are expressed in skeletal muscle, mature sperm cells and heart; PGAM1 homodimers are found in most other tissues; and PGAM1/PGAM2 heterodimers are found exclusively in the heart. PGAM4, also known as PGAM3, is a protein formerly considered to be specific to humans. Initially the PGAM4 gene was described as a pseudogene but it is now known to encode a functional protein at least 25 million years old. The gene encoding PGAM4 is believed to have originated by retrotransposition, with the original copy being the PGAM1 gene.

如果您使用该产品49976发表了文章,请通知我们,让我们可以引用您的文献。

et al,LDHA-mediated glycolysis in stria vascularis endothelial cells regulates macrophages function through CX3CL1-CX3CR1 pathway in noise-induced oxidative stress. , (2025),
PMID: 39900910
et al,FGL1-mediated lymph node metastasis in stage T1 non-small cell lung cancer: therapeutic targeting , (2025),
PMID: 41024301

注释

应用

  • WB免疫印迹
  • IHC免疫组化
  • IF免疫荧光
  • ICC免疫细胞化学
  • FC流式细胞
  • IP免疫沉淀
  • E酶联免疫吸附法
  • DB免疫斑点法
  • ChIP染色质免疫沉淀
  • GICA胶体金免疫层析法
  • NC阴性对照

种属反应性

  • Hu
  • Ms小鼠
  • Rt大鼠
  • Dm果蝇
  • C线虫
  • Mk
  • Rb
  • B
  • D
  • P
  • Hm仓鼠
  • ChHm中国仓鼠
  • Chk
;

联系我们

Location :

南京市高新开发区星火路10号人才大厦C座

Phone :

400-9961-933
025-58868422

Email Address

info@sabbiotech.com