免费电话:400-9961-933
邮箱:info@sabbiotech.com
欢迎光临本站
川博智能体 English
位置: 首页 > 重组兔单抗 > TBK1 Rabbit mAb

TBK1 Rabbit mAb#52074

是否有货: Yes
产品详情

产品名称TBK1 Rabbit mAb

来源种属Recombinant Rabbit

克隆性Monoclonal antibody

亚型Rabbit IgG

纯化Affinity-chromatography

应用WB;IHC;IF

种属反应性Human;Mouse;Rat

免疫原类型Peptide

免疫原描述A synthetic peptide of human TBK1

标记Unconjugated

别名NAK; T2K; NF-kappa-B-activating kinase; TANK-binding kinase 1; Serine/threonine-protein kinase TBK1; T2K; TANK binding kinase 1;

数据库入口号Swiss-Prot:Q9UHD2
GeneID:29110

Uniprot Q9UHD2

Gene ID 29110

计算分子量Calculated MW: 84 kDa; Observed MW: 84 kDa

配方Rabbit IgG in 10mM phosphate buffered saline , pH 7.4, 150mM sodium chloride, 0.05% BSA, 0.02% sodium azide and 50% glycerol.

保存Store at 4˚C short term. Aliquot and store at -20˚C long term. Avoid freeze/thaw cycles.

应用详情
WB 1:1000-1:2000;
IHC 1:100-1:200;
IF 1:50-1:200
All lanes use the Antibody at 1:1K dilution for 1 hour at room temperature.
All lanes use the Antibody at 1:2K dilution for 1 hour at room temperature.
All lanes use the Antibody at 1:2K dilution for 1 hour at room temperature.
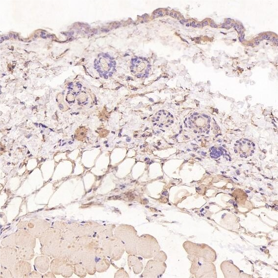
Immunohistochemical analysis of paraffin-embedded Rat liver, using the Antibody at 1:100 dilution.
Immunohistochemical analysis of paraffin-embedded human testis, using TBK1 Rabbit mAb.
Immunohistochemical analysis of paraffin-embedded Mouse skin, using the Antibody at 1:100 dilution.
Swiss-Prot Acc.Q9UHD2. Phosphorylated IRF3 dissociates from the adapter proteins, dimerizes, and then enters the nucleus to induce expression of interferons (PubMed:25636800).Thus, several scaffolding molecules including FADD, TRADD, MAVS, AZI2, TANK or TBKBP1/SINTBAD can be recruited to the TBK1-containing-complexes (PubMed:21931631).Under particular conditions, functions as a NF-kappa-B effector by phosphorylating NF-kappa-B inhibitor alpha/NFKBIA, IKBKB or RELA to translocate NF-Kappa-B to the nucleus

如果您使用该产品52074发表了文章,请通知我们,让我们可以引用您的文献。

et al,Therapeutic Effect of Brucea Javanica Oil Emulsion in Mice with Irinotecan-Induced Delayed Diarrhea , (2025),
PMID: 40584920
et al,Brusatol ameliorates irinotecan-induced delayed diarrhea via inhibition of the cGAS-STING pathway and modulation of intestinal flora , (2025),
PMID: 40684488

注释

应用

  • WB免疫印迹
  • IHC免疫组化
  • IF免疫荧光
  • ICC免疫细胞化学
  • FC流式细胞
  • IP免疫沉淀
  • E酶联免疫吸附法
  • DB免疫斑点法
  • ChIP染色质免疫沉淀
  • GICA胶体金免疫层析法
  • NC阴性对照

种属反应性

  • Hu
  • Ms小鼠
  • Rt大鼠
  • Dm果蝇
  • C线虫
  • Mk
  • Rb
  • B
  • D
  • P
  • Hm仓鼠
  • ChHm中国仓鼠
  • Chk
;

联系我们

Location :

南京市高新开发区星火路10号人才大厦C座

Phone :

400-9961-933
025-58868422

Email Address

info@sabbiotech.com