免费电话:400-9961-933
邮箱:info@sabbiotech.com
欢迎光临本站
川博智能体 English
位置: 首页 > 重组兔单抗 > CD147 Rabbit mAb

CD147 Rabbit mAb#52667

是否有货: Yes
产品详情

产品名称CD147 Rabbit mAb

克隆号S04-5B3

来源种属Recombinant Rabbit

克隆性Monoclonal antibody

亚型IgG

纯化Affinity Purified

应用WB IHC

种属反应性Human;Mouse;Rat

免疫原描述A synthetic peptide of human CD147

标记Unconjugated

别名OK; 5F7; TCSF; CD147; EMMPRIN

数据库入口号Swiss-Prot:P35613
GeneID:682

Uniprot P35613

Gene ID 682

计算分子量Calculated MW:42 kDa,Observed MW:50 kDa

配方50nM Tris-Glycine(pH 7.4), 0.15M NaCl, 40% Glycerol, 0.01% Sodium azide and 0.05% BSA

保存Store at 4˚C short term. Aliquot and store at -20˚C long term. Avoid freeze/thaw cycles.

应用详情
WB: 1/1000-1/5000 IHC: 1/50-1/200
Western blot detection of CD147 in Hela,Ramos cell lysates using CD147 Rabbit mAb(1:1000 diluted).Predicted band size:42kDa.Observed band size:42kDa.
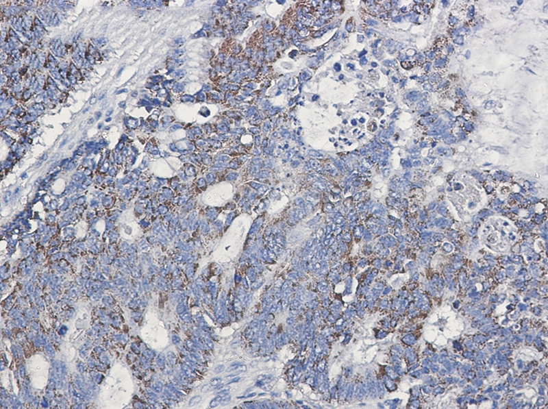
Immunohistochemistry of CD147 in paraffin-embedded Human colon cancer tissue using CD147 Rabbit mAb at dilution 1/50
Essential for normal retinal maturation and development (By similarity).Acts as a retinal cell surface receptor for NXNL1 and plays an important role in NXNL1-mediated survival of retinal cone photoreceptors (PubMed:25957687).In association with glucose transporter SLC16A1/GLUT1 and NXNL1, promotes retinal cone survival by enhancing aerobic glycolysis and accelerating the entry of glucose into photoreceptors (PubMed:25957687).May act as a potent stimulator of IL6 secretion in multiple cell lines that include monocytes (PubMed:21620857).

如果您使用该产品52667发表了文章,请通知我们,让我们可以引用您的文献。

et al,Effect of silencing CD147 on glycolysis in prostate cancer LNCaP cells , (2023),
PMID:

注释

应用

  • WB免疫印迹
  • IHC免疫组化
  • IF免疫荧光
  • ICC免疫细胞化学
  • FC流式细胞
  • IP免疫沉淀
  • E酶联免疫吸附法
  • DB免疫斑点法
  • ChIP染色质免疫沉淀
  • GICA胶体金免疫层析法
  • NC阴性对照

种属反应性

  • Hu
  • Ms小鼠
  • Rt大鼠
  • Dm果蝇
  • C线虫
  • Mk
  • Rb
  • B
  • D
  • P
  • Hm仓鼠
  • ChHm中国仓鼠
  • Chk
;

联系我们

Location :

南京市高新开发区星火路10号人才大厦C座

Phone :

400-9961-933
025-58868422

Email Address

info@sabbiotech.com