免费电话:400-9961-933
邮箱:info@sabbiotech.com
欢迎光临本站
川博智能体 English
位置: 首页 > 鼠单克隆抗体 > ABCA1 Mouse mAb

ABCA1 Mouse mAb#52906

是否有货: Yes
产品详情

产品名称ABCA1 Mouse mAb

来源种属Mouse

克隆性Monoclonal

亚型Mouse IgG2a

纯化Affinity Purified

应用IHC;IF;FC

种属反应性Human;Mouse;Rat

免疫原描述Purified recombinant fragment of human ABCA1 (AA: 2081-2261) expressed in E. Coli.

基因/蛋白名称ABCA1

标记Unconjugated

别名TGD; ABC1; CERP; ABC-1; HDLDT1; HPALP1; HDLCQTL13

数据库入口号O95477

Uniprot O95477

Gene ID 19

计算分子量254 kDa

配方Purified antibody in PBS with 0.05% sodium azide

保存Store at 4°C short term. Aliquot and store at -20°C long term. Avoid freeze/thaw cycles.

应用详情

IHC: 1/100 - 1/500
IF: 1/200 - 1/1000
FC: 1/200 - 1/400

Immunofluorescence analysis of Hela cells using ABCA1 mouse mAb (green).
Flow cytometric analysis of bel-7402 cells using ABCA1 mouse mAb (green) and negative control (red).
Flow cytometric analysis of Hela cells using ABCA1 mouse mAb (green) and negative control (red).
Flow cytometric analysis of Hepg2 cells using ABCA1 mouse mAb (green) and negative control (red).
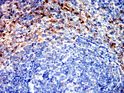
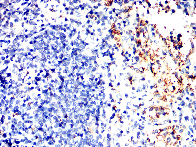
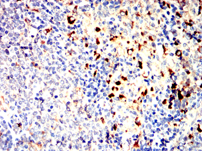
Immunohistochemical analysis of paraffin-embedded Mouse spleen using ABCA1 mouse mAb with DAB staining.
Immunohistochemical analysis of paraffin-embedded Rat spleen using ABCA1 mouse mAb with DAB staining.
Immunohistochemical analysis of paraffin-embedded Rabbit spleen using ABCA1 mouse mAb with DAB staining.

如果您使用该产品52906发表了文章,请通知我们,让我们可以引用您的文献。

et al,Niacin-induced lysosomal free cholesterol efflux via LXRα-mediated signaling pathways in macrophages retards the progression of atherosclerosis , (2025),
PMID:

注释

应用

  • WB免疫印迹
  • IHC免疫组化
  • IF免疫荧光
  • ICC免疫细胞化学
  • FC流式细胞
  • IP免疫沉淀
  • E酶联免疫吸附法
  • DB免疫斑点法
  • ChIP染色质免疫沉淀
  • GICA胶体金免疫层析法
  • NC阴性对照

种属反应性

  • Hu
  • Ms小鼠
  • Rt大鼠
  • Dm果蝇
  • C线虫
  • Mk
  • Rb
  • B
  • D
  • P
  • Hm仓鼠
  • ChHm中国仓鼠
  • Chk
;

联系我们

Location :

南京市高新开发区星火路10号人才大厦C座

Phone :

400-9961-933
025-58868422

Email Address

info@sabbiotech.com