免费电话:400-9961-933
邮箱:info@sabbiotech.com
欢迎光临本站
川博智能体 English
位置: 首页 > 多克隆抗体 > AKR1C2 Rabbit Polyclonal Antibody

AKR1C2 Rabbit Polyclonal Antibody#53172

是否有货: Yes
产品详情

产品名称AKR1C2 Rabbit Polyclonal Antibody

来源种属Rabbit

克隆性Polyclonal

亚型IgG

纯化Affinity purification

应用WB,IHC,IF

种属反应性Human;Mouse;Rat

免疫原描述Recombinant fusion protein of human AKR1C2 (NP_995317.1).

标记Unconjugated

别名AKR1C2;AKR1C-pseudo;BABP;DD;DD-2;DD/BABP;DD2;DDH2;HAKRD;HBAB;MCDR2;SRXY8;TDD

数据库入口号Uniprot:P52895
GeneID:1646

Uniprot P52895

Gene ID 1646

计算分子量15kDa/36kDa

实际分子量37kDa

配方PBS with 0.02% sodium azide,50% glycerol,pH7.3.

保存Store at -20˚C. Avoid freeze / thaw cycles.

应用详情
WB 1:500 - 1:2000
IHC 1:50 - 1:200
IF 1:50 - 1:100
Western blot analysis of extracts of various cell lines, using AKR1C2 antibody.
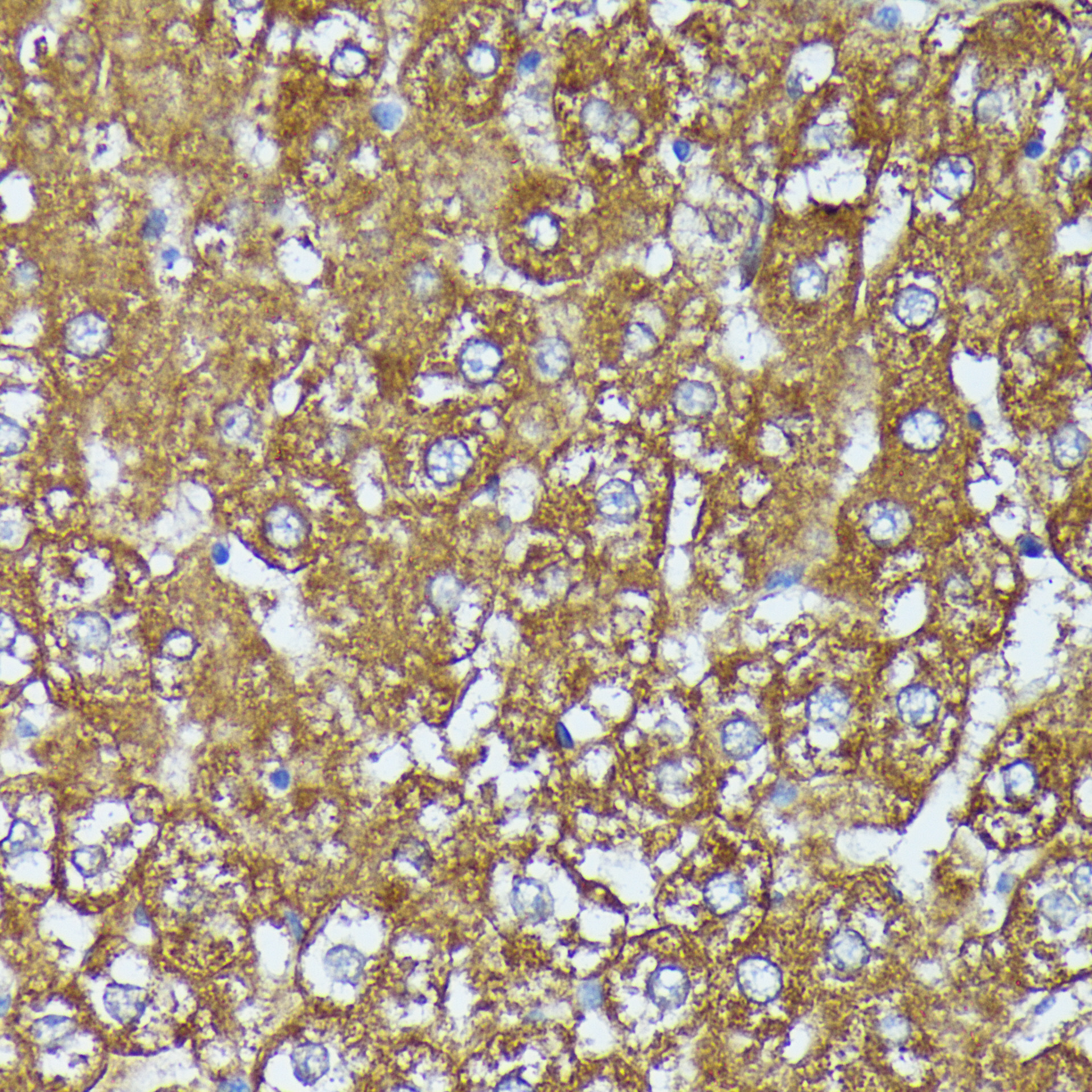
Immunohistochemistry of paraffin-embedded rat liver using AKR1C2 Rabbit pAb.
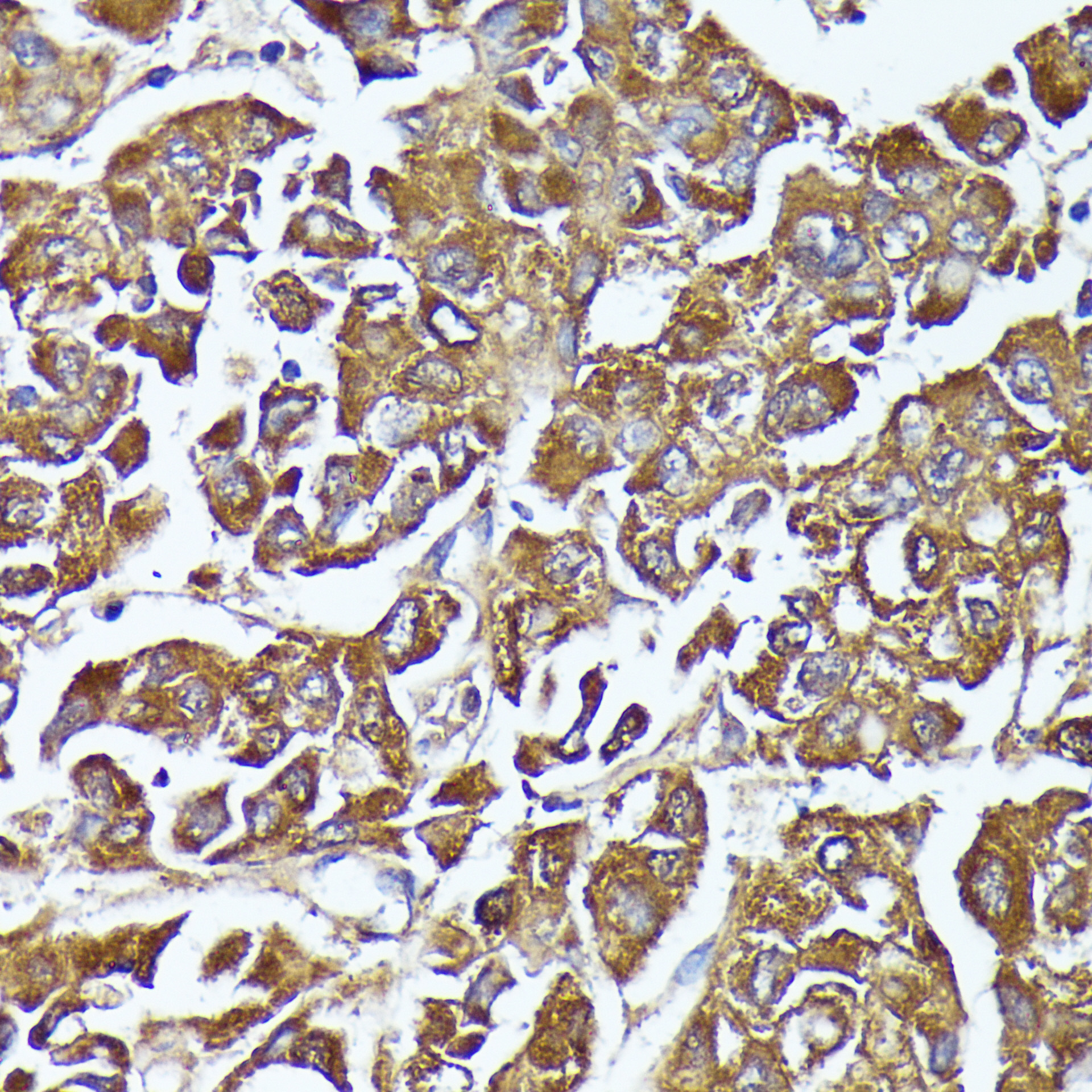
Immunohistochemistry of paraffin-embedded human liver cancer using AKR1C2 Rabbit pAb.
Immunohistochemistry of paraffin-embedded human Colon cancer using AKR1C2 Rabbit pAb.
Immunohistochemistry of paraffin-embedded mouse liver using AKR1C2 Rabbit pAb.
Immunofluorescence analysis of L929 cells using AKR1C2 Polyclonal Antibody.
Immunofluorescence analysis of U-2 OS cells using AKR1C2 Polyclonal Antibody.
This gene encodes a member of the aldo/keto reductase superfamily, which consists of more than 40 known enzymes and proteins. These enzymes catalyze the conversion of aldehydes and ketones to their corresponding alcohols using NADH and/or NADPH as cofactors. The enzymes display overlapping but distinct substrate specificity. This enzyme binds bile acid with high affinity, and shows minimal 3-alpha-hydroxysteroid dehydrogenase activity. This gene shares high sequence identity with three other gene members and is clustered with those three genes at chromosome 10p15-p14. Three transcript variants encoding two different isoforms have been found for this gene.

如果您使用该产品53172发表了文章,请通知我们,让我们可以引用您的文献。

et al,Corilagin alleviates radiation enteritis through caspase-1/gasdermin D-dependent pyroptosis by targeting aldo-keto reductase family 1 member C2 via glutathione … , (2025),
PMID: 40674841

注释

应用

  • WB免疫印迹
  • IHC免疫组化
  • IF免疫荧光
  • ICC免疫细胞化学
  • FC流式细胞
  • IP免疫沉淀
  • E酶联免疫吸附法
  • DB免疫斑点法
  • ChIP染色质免疫沉淀
  • GICA胶体金免疫层析法
  • NC阴性对照

种属反应性

  • Hu
  • Ms小鼠
  • Rt大鼠
  • Dm果蝇
  • C线虫
  • Mk
  • Rb
  • B
  • D
  • P
  • Hm仓鼠
  • ChHm中国仓鼠
  • Chk
;

联系我们

Location :

南京市高新开发区星火路10号人才大厦C座

Phone :

400-9961-933
025-58868422

Email Address

info@sabbiotech.com