免费电话:400-9961-933
邮箱:info@sabbiotech.com
欢迎光临本站
川博智能体 English
位置: 首页 > 多克隆抗体 > CD68 Rabbit Polyclonal Antibody

CD68 Rabbit Polyclonal Antibody#53969

是否有货: Yes
产品详情

产品名称CD68 Rabbit Polyclonal Antibody

来源种属Rabbit

克隆性Polyclonal

亚型IgG

纯化Affinity purification

应用WB,IHC,IF

种属反应性Human;Mouse

免疫原描述Recombinant fusion protein of human CD68 (NP_001242.2).

标记Unconjugated

别名CD68;GP110;LAMP4;SCARD1

数据库入口号Swiss Prot:P34810
GeneID:968

Uniprot P34810

计算分子量31kDa/34kDa/37kDa

配方Buffer: PBS with 0.02% sodium azide,50% glycerol,pH7.3.

保存Store at -20˚C. Avoid freeze / thaw cycles.

应用详情
WB 1:500 - 1:2000
IHC 1:50 - 1:200
IF 1:50 - 1:200
Immunofluorescence analysis of RAW264.7 cells using CD68 at dilution of 1:100. Blue: DAPI for nuclear staining.
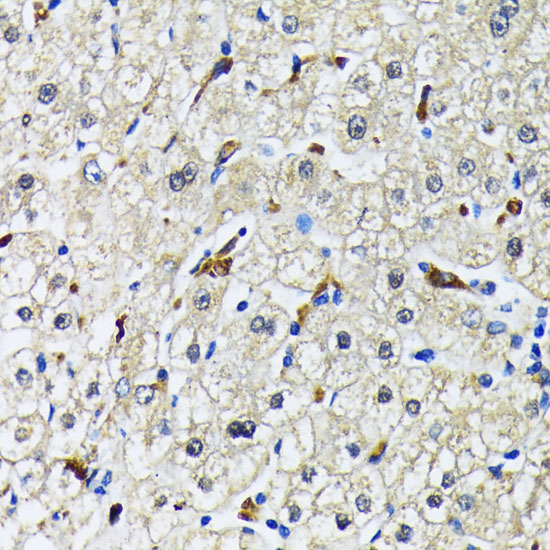
Immunohistochemistry of paraffin-embedded human liver using CD68 at dilution of 1:200 (40x lens).
This gene encodes a 110-kD transmembrane glycoprotein that is highly expressed by human monocytes and tissue macrophages. It is a member of the lysosomal/endosomal-associated membrane glycoprotein (LAMP) family. The protein primarily localizes to lysosomes and endosomes with a smaller fraction circulating to the cell surface. It is a type I integral membrane protein with a heavily glycosylated extracellular domain and binds to tissue- and organ-specific lectins or selectins. The protein is also a member of the scavenger receptor family. Scavenger receptors typically function to clear cellular debris, promote phagocytosis, and mediate the recruitment and activation of macrophages. Alternative splicing results in multiple transcripts encoding different isoforms.

如果您使用该产品53969发表了文章,请通知我们,让我们可以引用您的文献。

et al,EFHD1: A Potential Prognostic Biomarker Related to Mitochondrial Function and Aging in Atherosclerosis Plaque , (2025),
PMID: 40696546

注释

应用

  • WB免疫印迹
  • IHC免疫组化
  • IF免疫荧光
  • ICC免疫细胞化学
  • FC流式细胞
  • IP免疫沉淀
  • E酶联免疫吸附法
  • DB免疫斑点法
  • ChIP染色质免疫沉淀
  • GICA胶体金免疫层析法
  • NC阴性对照

种属反应性

  • Hu
  • Ms小鼠
  • Rt大鼠
  • Dm果蝇
  • C线虫
  • Mk
  • Rb
  • B
  • D
  • P
  • Hm仓鼠
  • ChHm中国仓鼠
  • Chk
;

联系我们

Location :

南京市高新开发区星火路10号人才大厦C座

Phone :

400-9961-933
025-58868422

Email Address

info@sabbiotech.com