免费电话:400-9961-933
邮箱:info@sabbiotech.com
欢迎光临本站
川博智能体 English
位置: 首页 > 多克隆抗体 > CXCL12 Rabbit Polyclonal Antibody

CXCL12 Rabbit Polyclonal Antibody#54506

是否有货: Yes
产品详情

产品名称CXCL12 Rabbit Polyclonal Antibody

来源种属Rabbit

克隆性Polyclonal

亚型IgG

纯化Affinity purification

应用WB,IHC,IF

种属反应性Human;Mouse;Rat

免疫原描述Recombinant protein of human CXCL12.

标记Unconjugated

别名CXCL12;IRH;PBSF;SCYB12;SDF1;TLSF;TPAR1

数据库入口号Uniprot:P48061
GeneID:6387

Uniprot P48061

Gene ID 6387

计算分子量11kDa

实际分子量11kDa

配方PBS with 0.02% sodium azide,50% glycerol,pH7.3.

保存Store at -20˚C. Avoid freeze / thaw cycles.

应用详情
WB 1:500 - 1:2000
IHC 1:50 - 1:200
IF 1:50 - 1:200
Western blot analysis of extracts of various cell lines, using CXCL12 antibody.
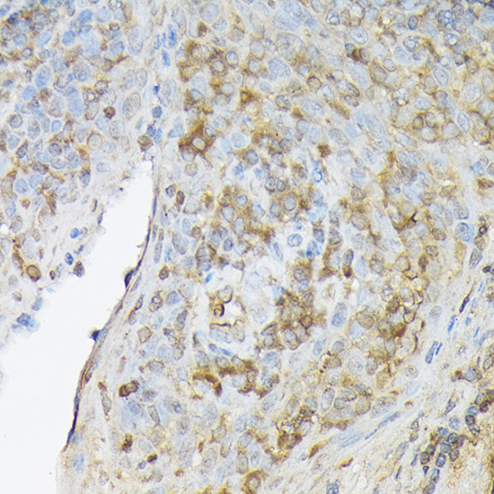
Immunohistochemistry of paraffin-embedded human gastric cancer using CXCL12 Rabbit pAb.
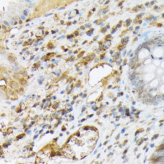
Immunohistochemistry of paraffin-embedded human tonsil using CXCL12 Rabbit pAb.
Immunofluorescence analysis of human liver cells using CXCL12 Rabbit pAb.
This antimicrobial gene encodes a stromal cell-derived alpha chemokine member of the intercrine family. The encoded protein functions as the ligand for the G-protein coupled receptor, chemokine (C-X-C motif) receptor 4, and plays a role in many diverse cellular functions, including embryogenesis, immune surveillance, inflammation response, tissue homeostasis, and tumor growth and metastasis. Mutations in this gene are associated with resistance to human immunodeficiency virus type 1 infections. Multiple transcript variants encoding different isoforms have been found for this gene.

如果您使用该产品54506发表了文章,请通知我们,让我们可以引用您的文献。

et al,Relationship between surrounding tissue morphology and directional collective migration of the posterior lateral line primordium in zebrafish , (2020),
PMID: 32516841

注释

应用

  • WB免疫印迹
  • IHC免疫组化
  • IF免疫荧光
  • ICC免疫细胞化学
  • FC流式细胞
  • IP免疫沉淀
  • E酶联免疫吸附法
  • DB免疫斑点法
  • ChIP染色质免疫沉淀
  • GICA胶体金免疫层析法
  • NC阴性对照

种属反应性

  • Hu
  • Ms小鼠
  • Rt大鼠
  • Dm果蝇
  • C线虫
  • Mk
  • Rb
  • B
  • D
  • P
  • Hm仓鼠
  • ChHm中国仓鼠
  • Chk
;

联系我们

Location :

南京市高新开发区星火路10号人才大厦C座

Phone :

400-9961-933
025-58868422

Email Address

info@sabbiotech.com