免费电话:400-9961-933
邮箱:info@sabbiotech.com
欢迎光临本站
川博智能体 English
位置: 首页 > 多克隆抗体 > RAC1 Rabbit Polyclonal Antibody

RAC1 Rabbit Polyclonal Antibody#55297

是否有货: Yes
产品详情

产品名称RAC1 Rabbit Polyclonal Antibody

来源种属Rabbit

克隆性Polyclonal

亚型IgG

纯化Affinity purification

应用WB,IHC,IF

种属反应性Human;Mouse;Rat

免疫原描述Recombinant fusion protein of human RAC1 (NP_008839.2).

标记Unconjugated

别名RAC1;MIG5;Rac-1;TC-25;p21-Rac1

数据库入口号Swiss Prot:P63000
GeneID:5879

Uniprot P63000

计算分子量21kDa/23kDa

实际分子量21kDa

配方Buffer: PBS with 0.02% sodium azide,50% glycerol,pH7.3.

保存Store at -20˚C. Avoid freeze / thaw cycles.

应用详情
WB 1:500 - 1:2000
IHC 1:50 - 1:200
IF 1:50 - 1:200
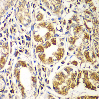
Immunohistochemistry of paraffin-embedded human gastric using RAC1 at dilution of 1:100 (40x lens).
Western blot analysis of extracts of various cell lines, using RAC1 at 1:1000 dilution.
The protein encoded by this gene is a GTPase which belongs to the RAS superfamily of small GTP-binding proteins. Members of this superfamily appear to regulate a diverse array of cellular events, including the control of cell growth, cytoskeletal reorganization, and the activation of protein kinases. Two transcript variants encoding different isoforms have been found for this gene.

如果您使用该产品55297发表了文章,请通知我们,让我们可以引用您的文献。

et al,Does H3K27me3 expression play a role in patients with Blastic plasmacytoid dendritic cell neoplasm? A clinicopathologic analysis of 14 patients. , (2025),
PMID: 39608294

注释

应用

  • WB免疫印迹
  • IHC免疫组化
  • IF免疫荧光
  • ICC免疫细胞化学
  • FC流式细胞
  • IP免疫沉淀
  • E酶联免疫吸附法
  • DB免疫斑点法
  • ChIP染色质免疫沉淀
  • GICA胶体金免疫层析法
  • NC阴性对照

种属反应性

  • Hu
  • Ms小鼠
  • Rt大鼠
  • Dm果蝇
  • C线虫
  • Mk
  • Rb
  • B
  • D
  • P
  • Hm仓鼠
  • ChHm中国仓鼠
  • Chk
;

联系我们

Location :

南京市高新开发区星火路10号人才大厦C座

Phone :

400-9961-933
025-58868422

Email Address

info@sabbiotech.com