免费电话:400-9961-933
邮箱:info@sabbiotech.com
欢迎光临本站
川博智能体 English
位置: 首页 > 多克隆抗体 > GLUT3 Rabbit Polyclonal Antibody

GLUT3 Rabbit Polyclonal Antibody#55439

是否有货: Yes
产品详情

产品名称GLUT3 Rabbit Polyclonal Antibody

来源种属Rabbit

克隆性Polyclonal

亚型IgG

纯化Affinity purification

应用WB,IHC

种属反应性Human;Mouse;Rat

免疫原描述A synthetic peptide of human GLUT3/SLC2A3 (NP_008862.1).

标记Unconjugated

别名SLC2A3;GLUT3

数据库入口号Uniprot:P11169
GeneID:6515

Uniprot P11169

Gene ID 6515

计算分子量53kDa

实际分子量53kDa

配方PBS with 0.02% sodium azide,50% glycerol,pH7.3.

保存Store at -20˚C. Avoid freeze / thaw cycles.

应用详情
WB 1:500 - 1:2000
IHC 1:50 - 1:200
Western blot analysis of extracts of various cell lines, using GLUT3/SLC2A3 Antibody.
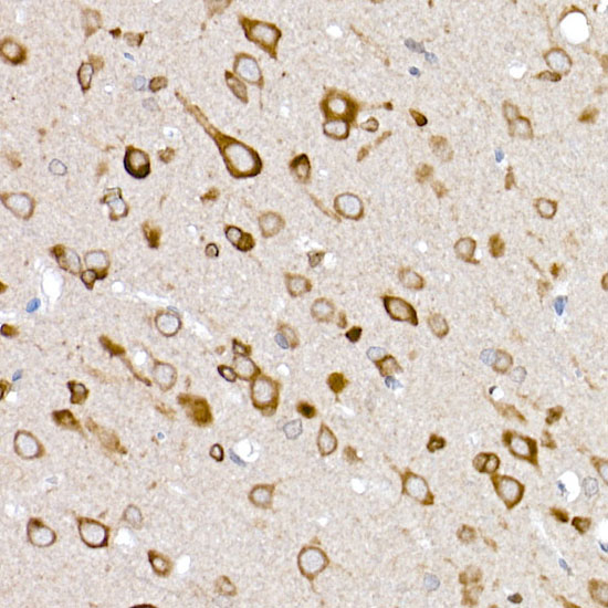
Immunohistochemistry of paraffin-embedded rat brain using GLUT3/SLC2A3 Rabbit pAb.
Immunohistochemistry of paraffin-embedded rat testis using GLUT3/SLC2A3 Rabbit pAb.
Facilitative glucose transporter that can also mediate the uptake of various other monosaccharides across the cell membrane. Mediates the uptake of glucose, 2-deoxyglucose, galactose, mannose, xylose and fucose, and probably also dehydroascorbate. Does not mediate fructose transport.

如果您使用该产品55439发表了文章,请通知我们,让我们可以引用您的文献。

et al,FGL1-mediated lymph node metastasis in stage T1 non-small cell lung cancer: therapeutic targeting , (2025),
PMID: 41024301

注释

应用

  • WB免疫印迹
  • IHC免疫组化
  • IF免疫荧光
  • ICC免疫细胞化学
  • FC流式细胞
  • IP免疫沉淀
  • E酶联免疫吸附法
  • DB免疫斑点法
  • ChIP染色质免疫沉淀
  • GICA胶体金免疫层析法
  • NC阴性对照

种属反应性

  • Hu
  • Ms小鼠
  • Rt大鼠
  • Dm果蝇
  • C线虫
  • Mk
  • Rb
  • B
  • D
  • P
  • Hm仓鼠
  • ChHm中国仓鼠
  • Chk
;

联系我们

Location :

南京市高新开发区星火路10号人才大厦C座

Phone :

400-9961-933
025-58868422

Email Address

info@sabbiotech.com