免费电话:400-9961-933
邮箱:info@sabbiotech.com
欢迎光临本站
川博智能体 English
位置: 首页 > 多克隆抗体 > CTSC Rabbit Polyclonal Antibody

CTSC Rabbit Polyclonal Antibody#55502

是否有货: Yes
产品详情

产品名称CTSC Rabbit Polyclonal Antibody

来源种属Rabbit

克隆性Polyclonal

亚型IgG

纯化Affinity purification

应用WB

种属反应性Human;Mouse;Rat

免疫原描述Recombinant fusion protein of human CTSC (NP_001805.3).

标记Unconjugated

别名CTSC;CPPI;DPP-I;DPP1;DPPI;HMS;JP;JPD;PALS;PDON1;PLS

数据库入口号Uniprot:P53634
GeneID:1075

Uniprot P53634

Gene ID 1075

计算分子量15kDa/51kDa

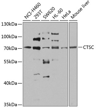
实际分子量70kDa

配方PBS with 0.02% sodium azide,50% glycerol,pH7.3.

保存Store at -20˚C. Avoid freeze / thaw cycles.

应用详情
WB 1:500 - 1:2000
Western blot analysis of extracts of various cell lines, using CTSC antibody.
This gene encodes a member of the peptidase C1 family and lysosomal cysteine proteinase that appears to be a central coordinator for activation of many serine proteinases in cells of the immune system. Alternative splicing results in multiple transcript variants, at least one of which encodes a preproprotein that is proteolytically processed to generate heavy and light chains that form a disulfide-linked dimer. A portion of the propeptide acts as an intramolecular chaperone for the folding and stabilization of the mature enzyme. This enzyme requires chloride ions for activity and can degrade glucagon. Defects in the encoded protein have been shown to be a cause of Papillon-Lefevre syndrome, an autosomal recessive disorder characterized by palmoplantar keratosis and periodontitis.

如果您使用该产品55502发表了文章,请通知我们,让我们可以引用您的文献。

et al,CTSC Overexpression Drives Neutrophil Extracellular Traps And Exacerbates Lung Inflammation in Acute Lung Injury , (2024),
PMID:

注释

应用

  • WB免疫印迹
  • IHC免疫组化
  • IF免疫荧光
  • ICC免疫细胞化学
  • FC流式细胞
  • IP免疫沉淀
  • E酶联免疫吸附法
  • DB免疫斑点法
  • ChIP染色质免疫沉淀
  • GICA胶体金免疫层析法
  • NC阴性对照

种属反应性

  • Hu
  • Ms小鼠
  • Rt大鼠
  • Dm果蝇
  • C线虫
  • Mk
  • Rb
  • B
  • D
  • P
  • Hm仓鼠
  • ChHm中国仓鼠
  • Chk
;

联系我们

Location :

南京市高新开发区星火路10号人才大厦C座

Phone :

400-9961-933
025-58868422

Email Address

info@sabbiotech.com