免费电话:400-9961-933
邮箱:info@sabbiotech.com
欢迎光临本站
川博智能体 English
位置: 首页 > 多克隆抗体 > VEGFR2 Polyclonal Antibody

VEGFR2 Polyclonal Antibody#C90236

是否有货: Yes
产品详情

产品名称VEGFR2 Polyclonal Antibody

来源种属Rabbit

克隆性Polyclonal

纯化affinity purified by Protein A

应用IHC;FC

种属反应性Human;Mouse;Rat

标记Unconjugated

Uniprot P35968

Gene ID 3791

计算分子量151kDa

配方0.01M TBS (pH7.4) with 1% BSA, 0.02% Proclin300 and 50% Glycerol.

保存Shipped at 4℃. Store at -20℃ for one year. Avoid repeated freeze/thaw cycles.

应用详情

IHC-P 1:100-500
Flow-Cyt 1μg/Test

Immunohistochemistry analysis of paraffin-embedded Human brain tissue using VEGFR2 Polyclonal Antibody. The picture on the right is blocked with the synthesized peptide.
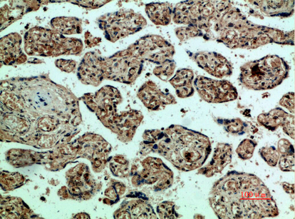
Immunohistochemistry analysis of paraffin-embedded Human placenta tissue using VEGFR2 Polyclonal Antibody.
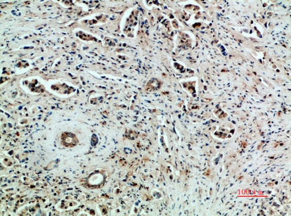
Immunohistochemistry analysis of paraffin-embedded Human breast cancer tissue using VEGFR2 Polyclonal Antibody.
Immunohistochemistry analysis of paraffin-embedded Human placenta tissue using VEGFR2 Polyclonal Antibody.

如果您使用该产品C90236发表了文章,请通知我们,让我们可以引用您的文献。

et al,Association between tumor location and neurocognitive functioning using tumor localization maps , (2019),
PMID: 28246006

注释

应用

  • WB免疫印迹
  • IHC免疫组化
  • IF免疫荧光
  • ICC免疫细胞化学
  • FC流式细胞
  • IP免疫沉淀
  • E酶联免疫吸附法
  • DB免疫斑点法
  • ChIP染色质免疫沉淀
  • GICA胶体金免疫层析法
  • NC阴性对照

种属反应性

  • Hu
  • Ms小鼠
  • Rt大鼠
  • Dm果蝇
  • C线虫
  • Mk
  • Rb
  • B
  • D
  • P
  • Hm仓鼠
  • ChHm中国仓鼠
  • Chk
;

联系我们

Location :

南京市高新开发区星火路10号人才大厦C座

Phone :

400-9961-933
025-58868422

Email Address

info@sabbiotech.com