免费电话:400-9961-933
邮箱:info@sabbiotech.com
欢迎光临本站
川博智能体 English
位置: 首页 > 标签抗体 > Flag-Tag Mouse Monoclonal Antibody

Flag-Tag Mouse Monoclonal Antibody#T519

是否有货: Yes
产品详情

产品名称Flag-Tag Mouse Monoclonal Antibody

来源种属Mouse

克隆性Monoclonal

纯化Protein A purified

应用WB;ELISA;IP;IF;CoIP

种属反应性Species independent

特异性This recombinant antibody can highly specifically recognize the Flag tags of C-terminal and N-terminal of recombinant protein. Variable region gene of this antibody comes from the mouse gene library immunized with DDDK peptide. Constant region of this antibody is mouse IgG1 and mouse kappa.

基因/蛋白名称Flag-Tag

标记Unconjugated

别名Flag tag;Flag-tag;DDDDK TAG;DDDDK-TAG;DYKDDDDK tag;DYKDDDDK-tag

配方PBS, pH 7.4, containing 0.5%BSA, 0.02% sodium azide as Preservative and 50% Glycerol.

保存Store at -20℃/1 year

应用详情
WB 1:10000-1:50000;
ELISA 1:20000-1:50000;
IP 1:50-1:200;
IF 1:1000-1:3000
Western Blot analysis of 293F cells transfected or non-tansfected Flag-Tag expression vector by primary antibody at 1:10000 dilution.
Lane 1 3 5: 293F cell lysis.
Lane 2 4 6: tansfected Flag-Tag expression vector.
Secondary antibody was diluted at 1:10000
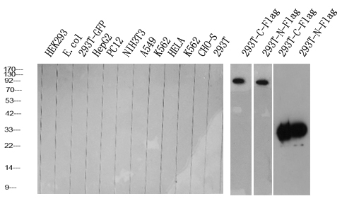
Western Blot analysis of various cells using primary antibody at 1:10000 dilution. Secondary antibody was diluted at 1:10000
1) Input: 293T transfected N-flag protein Lysate
2) IP product: IP dilute 1: 200, 293T transfected N-flag protein Lysate
Western blot analysis: primary antibody : 1:10000
Secondary antibody: Goat anti-Mouse IgG, 1: 5000
Immunofluorescence analysis of 293T transfected FLAG and GFP tag protein. 1, FLAG primary Antibody was diluted at 1:1000(4℃ overnight), GFP primary Antibody was diluted at 1:1000(4℃ overnight)

The DYKDDDDK peptide (Flag-tag) is a small component of an epitope which does not appear to interfere with the bioactivity or the biodistribution of the recombinant protein. It has been used extensively as a general epitope tag in expression vectors. It can be used for affinity chromatography, then used to separate recombinant, overexpressed protein from wild-type protein expressed by the host organism. It can also be used in the isolation of protein complexes with multiple subunits.A Flag-tag can be used in many different assays that require recognition by an antibody. If there is no antibody against the studied protein, adding a Flag-tag to this protein allows one to follow the protein with an antibody against the Flag sequence.

如果您使用该产品T519发表了文章,请通知我们,让我们可以引用您的文献。

et al,AdenosIne DeamInase ActIng on RNA 1 Associates with Orf Virus OV20.0 and Enhances Viral Replication. In J Virol on 2019 Mar 21 by Liao GR, Tseng YY, et al..PMID:30651363 , (2019),
PMID: 30651363
et al,Pseudomonas aeruginosa pvdQ Gene Prevents Caco-2 Cells from Obstruction of Quorum-Sensing Signal. In Curr Microbiol on 2011 Jan by Lu Ye, Gaopeng Li, et al..PMID: 20490497 , (2011),
PMID: 20490497
et al,Testing for anti-PBP antibody is not useful in diagnosing autoimmune pancreatitis.In Am J Gastroenterol on 2016 Nov by Jorie Buijs, Djuna L Cahen et al..PMID: , (2016),
PMID: 27325222
et al,Combined in vitro and in silico analyses of FGFR1 variants: genotype-phenotype study in idiopathic hypogonadotropic hypogonadism. In Clin Genet on 2020 Oct by Daoqi Wang, Yonghua Niu, et al..PMID: 32666525 , (2020),
PMID: 32666525
et al,Cell adhesion molecule L1 like plays a role in the pathogenesis of idiopathic hypogonadotropic hypogonadism. In J Endocrinol Invest on 2021 Aug by Y Chen, T Sun, et al..PMID:33453020 , (2021),
PMID: 33453020
et al,A variant NS1 protein from H5N2 avian influenza virus suppresses PKR activation and promotes replication and virulence in mammals. In Emerg Microbes Infect on 2022 Dec by Yun-Ting Chung, Chih-Ying Kuan, et al..PMID:35979918 , (2022),
PMID: 35979918
et al,Epigenetic Control of Mitochondrial Fission Enables Self-Renewal of Stem-like Tumor Cells in Human Prostate Cancer , (2019),
PMID: 31130467

注释

应用

  • WB免疫印迹
  • IHC免疫组化
  • IF免疫荧光
  • ICC免疫细胞化学
  • FC流式细胞
  • IP免疫沉淀
  • E酶联免疫吸附法
  • DB免疫斑点法
  • ChIP染色质免疫沉淀
  • GICA胶体金免疫层析法
  • NC阴性对照

种属反应性

  • Hu
  • Ms小鼠
  • Rt大鼠
  • Dm果蝇
  • C线虫
  • Mk
  • Rb
  • B
  • D
  • P
  • Hm仓鼠
  • ChHm中国仓鼠
  • Chk
;

联系我们

Location :

南京市高新开发区星火路10号人才大厦C座

Phone :

400-9961-933
025-58868422

Email Address

info@sabbiotech.com