简述:Recombinant Rabbit Monoclonal
应用:WB, IHC, IP, FC
种属反应性:Human
简述:Recombinant Rabbit Monoclonal
应用:WB, IHC, IP, FC
种属反应性:Human
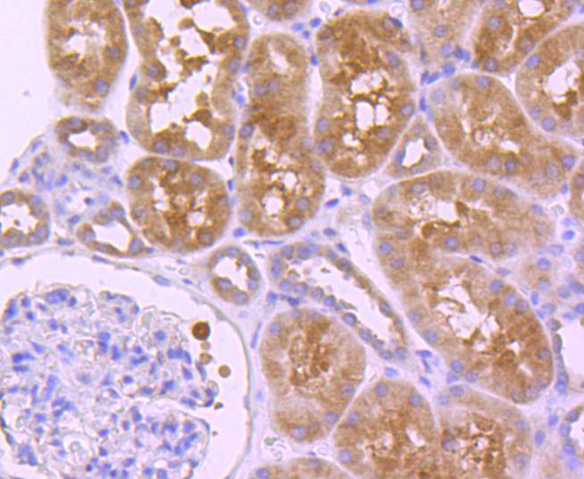
简述:Recombinant Rabbit Monoclonal
应用:WB, ICC/IF, IHC, IP
种属反应性:Human
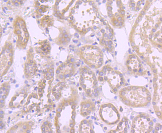
简述:Recombinant Rabbit Monoclonal
应用:WB
种属反应性:Human
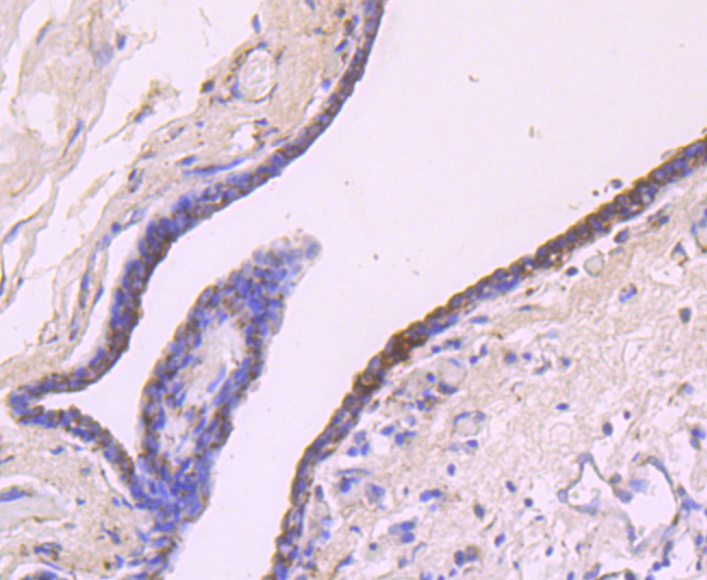
简述:Recombinant Rabbit Monoclonal
应用:WB;IHC;IP;FC;ICC/IF
种属反应性:Hu;Ms;Rt
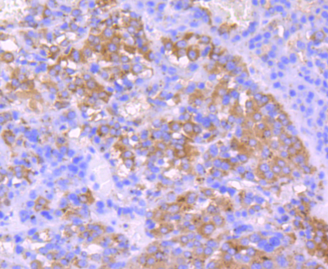
简述:Recombinant Rabbit Monoclonal
应用:WB, ICC/IF, IHC, FC
种属反应性:Human