免费电话:400-9961-933
邮箱:info@sabbiotech.com
欢迎光临本站
川博智能体 English
位置: 首页 > 磷酸化抗体 > P38 MAPK(Phospho-Tyr182) Antibody

P38 MAPK(Phospho-Tyr182) Antibody#11253

是否有货: 有货
产品详情

产品名称P38 MAPK(Phospho-Tyr182) Antibody

来源种属Rabbit

克隆性Polyclonal

纯化Antibodies were produced by immunizing rabbits with synthetic phosphopeptide and KLH conjugates. Antibodies were purified by affinity-chromatography using epitope-specific phosphopeptide. Non-phospho specific antibodies were removed by chromatogramphy using non-phosphopeptide.

应用WB IHC

种属反应性Human;Mouse;Rat

特异性The antibody detects endogenous level of P38MAPK only when phosphorylated at tyrosine 182.

免疫原类型Peptide-KLH

免疫原描述Peptide sequence around phosphorylation site of tyrosine 182 (T-G-Y(p)-V-A) derived from Human P38 MAPK.

基因/蛋白名称P38 MAPK

标记Unconjugated

别名MAPK2; MAPKAPK-2; MAPKAPK2

数据库入口号Swiss-Prot: Q16539
NCBI Protein: NP _001306.1

Uniprot Q16539

浓度1.0mg/ml

配方Supplied at 1.0mg/mL in phosphate buffered saline (without Mg2+ and Ca2+), pH 7.4, 150mM NaCl, 0.02% sodium azide and 50% glycerol.

保存Store at -20°C for long term preservation (recommended). Store at 4°C for short term use.

应用详情

Predicted MW: 43kd
Western blotting: 1:500~1:1000
Immunohistochemistry: 1:50~1:100

Western blot analysis of extracts from Hela cells untreated or treated with UV for the indicated times, using P38 MAPK(Phospho-Tyr182) Antibody #11253.
Immunohistochemical analysis of paraffin-embedded human breast carcinoma tissue using P38 MAPK(Phospho-Tyr182) Antibody #11253(left) or the same antibody preincubated with blocking peptide(right).
Western blot analysis of extracts from Hela cells, treated with TNFa or calf intestinal phosphatase (CIP), using P38 MAPK (Phospho-Tyr182) Antibody #11253.
Western blot analysis of lysates from RAW264.7 cells and 293 cells, using P38 MAPK(Phospho-Tyr182) Antibody. The lane on the right is blocked with the phospho peptide.
Western blot analysis of lysates from 1) PC-3, 2) MCF-7 cells;
(Green) primary antibody was diluted at 1:1000, 4°over night;
Dylight 800 secondary antibody was diluted at 1:10000, 37° 1 hour;
(Red) Tubulin β Monoclonal Antibody(5G3) was diluted at 1:5000 as loading control, 4° over night;
Dylight 680 secondary antibody was diluted at 1:10000, 37° 1hour.
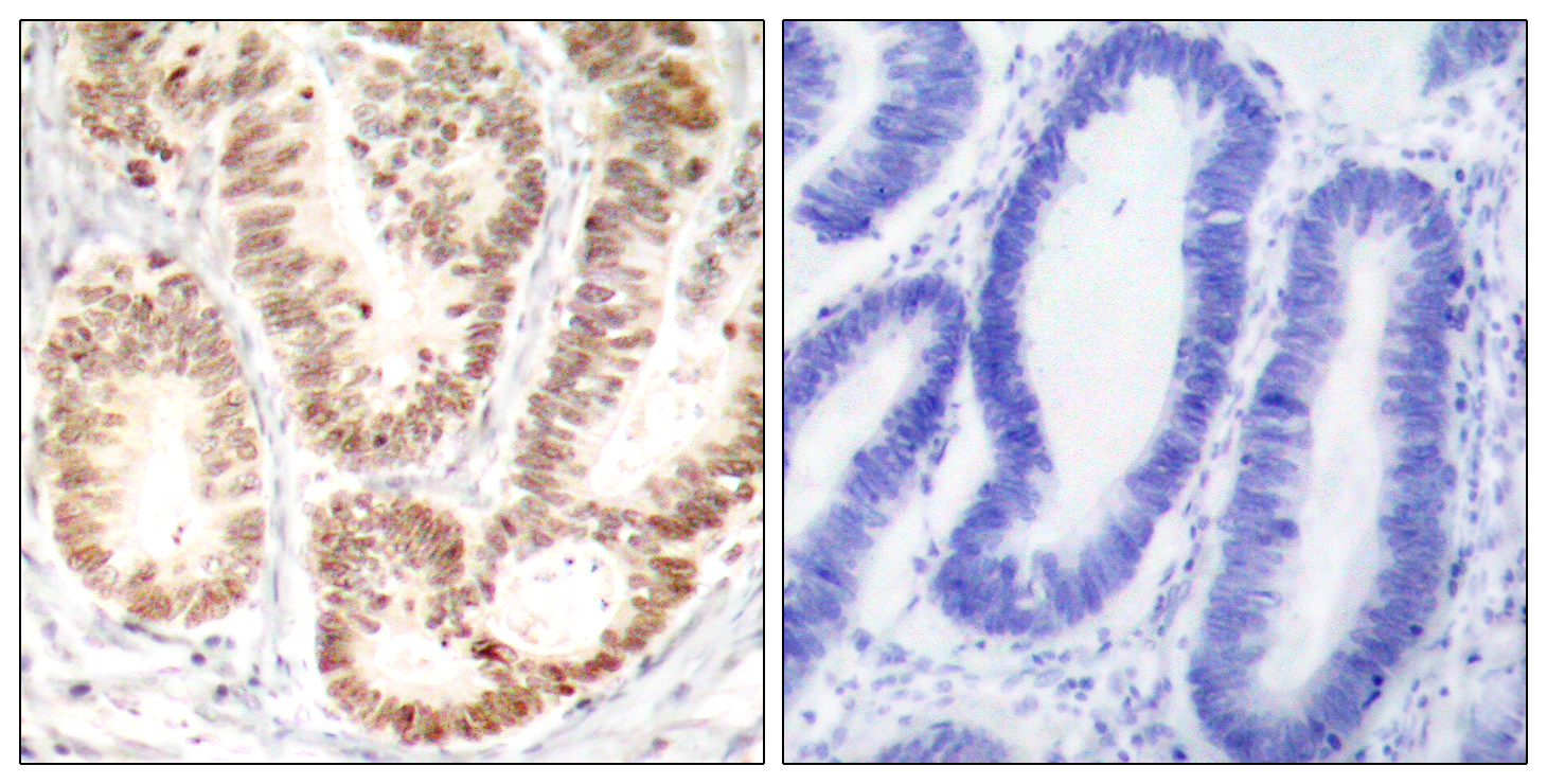
Immunohistochemistry analysis of paraffin-embedded human colon carcinoma, using P38 MAPK(Phospho-Tyr182) Antibody. The picture on the right is blocked with the phospho peptide.

Responds to activation by environmental stress, pro-inflammatory cytokines and lipopolysaccharide (LPS) by phosphorylating a number of transcription factors, such as ELK1 and ATF2 and several downstream kinases, such as MAPKAPK2 and MAPKAPK5. Plays a critical role in the production of some cytokines, for example IL-6. May play a role in stabilization of EPO mRNA during hypoxic stress. Isoform Mxi2 activation is stimulated by mitogens and oxidative stress and only poorly phosphorylates ELK1 and ATF2. Isoform Exip may play a role in the early onset of apoptosis.

Ming Zheng, et al.(2005) The FASEB Journal. 19: 109-111
Bernt van den et al.(2001) Blink Immunology, 166: 582-587
Arshad Rahman, et al. (2004) Am J Physiol Lung Cell Mol Physiol 287: L1017-L1024
Osamu Yoshino, et al. (2003) Endocrinology & Metabolism Vol. 88: 2236-2241

如果您使用该产品11253发表了文章,请通知我们,让我们可以引用您的文献。

et al,Disruption of xCT inhibits cancer cell metastasis via the caveolin-1/娄脗-catenin pathway. , (2008),
PMID: 19015640
et al,SilibInIn A decreases statIn?Induced PCSK9 expression In human hepatoblastoma HepG2 cells. In Mol Med Rep on 2019 Aug by Dong Z, Zhang W,et al..PMID:31173243 , (2019),
PMID: 31173243
et al,Amiloride alleviates morphine tolerance by suppressing ASIC3-dependent neuroinflammation in the spinal cord. In Eur J Pharmacol on 2024 Jan 15 by Liba Gei, Yan Yan,et al..PMID:37918499 , (2024),
PMID: 37918499
et al,Nephrotoxicity induced by cisplatin is primarily due to the activation of the 5-hydroxytryptamine degradation system in proximal renal tubules , (2021),
PMID:

注释

应用

  • WB免疫印迹
  • IHC免疫组化
  • IF免疫荧光
  • ICC免疫细胞化学
  • FC流式细胞
  • IP免疫沉淀
  • E酶联免疫吸附法
  • DB免疫斑点法
  • ChIP染色质免疫沉淀
  • GICA胶体金免疫层析法
  • NC阴性对照

种属反应性

  • Hu
  • Ms小鼠
  • Rt大鼠
  • Dm果蝇
  • C线虫
  • Mk
  • Rb
  • B
  • D
  • P
  • Hm仓鼠
  • ChHm中国仓鼠
  • Chk
;

联系我们

Location :

南京市高新开发区星火路10号人才大厦C座

Phone :

400-9961-933
025-58868422

Email Address

info@sabbiotech.com