免费电话:400-9961-933
邮箱:info@sabbiotech.com
欢迎光临本站
川博智能体 English
位置: 首页 > 磷酸化抗体 > ARK-1 (Phospho-Thr288) Antibody

ARK-1 (Phospho-Thr288) Antibody#12301

是否有货: 有货
产品详情

产品名称ARK-1 (Phospho-Thr288) Antibody

来源种属Rabbit

克隆性Polyclonal

纯化The antibody was affinity-purified from rabbit antiserum by affinity-chromatography using epitope-specific immunogen.

应用WB;IHC;ELISA

种属反应性Human;Mouse;Rat

特异性Phospho-ARK-1 (T288) Polyclonal Antibody detects endogenous levels of ARK-1 protein only when phosphorylated at T288.

免疫原类型peptide

免疫原描述Synthesized peptide derived from human ARK-1 around the phosphorylation site of T288.

基因/蛋白名称ARK-1

标记Unconjugated

别名AURKA; AIK; AIRK1; ARK1; AURA; AYK1; BTAK; IAK1; STK15; STK6; Aurora kinase A; Aurora 2; Aurora/IPL1-related kinase 1; ARK-1; Aurora-related kinase 1; hARK1; Breast tumor-amplified kinase; Serine/threonine-protein kinase 15; Serine/threonin

数据库入口号Swiss-Prot: O14965
NCBI Gene ID: 6790

Uniprot O14965

实际分子量45kd

浓度1mg/ml

配方Liquid in PBS containing 50% glycerol, 0.5% BSA and 0.02% sodium azide.

保存Store at -20˚C/1 year

Target种属human

应用详情
Western blotting: 1/500 - 1/2000
Immunohistochemistry: 1/100 - 1/300
ELISA: 1/5000
Not yet tested in other applications
Western Blot analysis of 293 cells using Phospho-ARK-1 (T288) Polyclonal Antibody
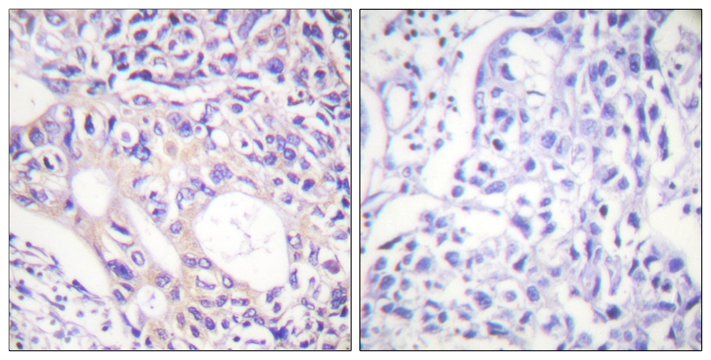
Immunohistochemical analysis of paraffin-embedded human breast carcinoma tissue using ARK-1 (Phospho-Thr288) Antibody #12301. The picture on the right is treated with the synthesized peptide.

如果您使用该产品12301发表了文章,请通知我们,让我们可以引用您的文献。

et al,PAK1-Dependent Regulation of Microtubule Organization and Spindle Migration Is Essential for the Metaphase I–Metaphase II Transition in Porcine Oocytes In Biomolecules on 2024 Feb 17 by Lei Peng, Yijing He,et al..PMID:38397472 , (2024),
PMID: 38397472

注释

应用

  • WB免疫印迹
  • IHC免疫组化
  • IF免疫荧光
  • ICC免疫细胞化学
  • FC流式细胞
  • IP免疫沉淀
  • E酶联免疫吸附法
  • DB免疫斑点法
  • ChIP染色质免疫沉淀
  • GICA胶体金免疫层析法
  • NC阴性对照

种属反应性

  • Hu
  • Ms小鼠
  • Rt大鼠
  • Dm果蝇
  • C线虫
  • Mk
  • Rb
  • B
  • D
  • P
  • Hm仓鼠
  • ChHm中国仓鼠
  • Chk
;

联系我们

Location :

南京市高新开发区星火路10号人才大厦C座

Phone :

400-9961-933
025-58868422

Email Address

info@sabbiotech.com