免费电话:400-9961-933
邮箱:info@sabbiotech.com
欢迎光临本站
川博智能体 English
位置: 首页 > 磷酸化抗体 > Smad5 (Phospho-Ser463/Ser465) Rabbit mAb

Smad5 (Phospho-Ser463/Ser465) Rabbit mAb#14137

是否有货: Yes
产品详情

产品名称Smad5 (Phospho-Ser463/Ser465) Rabbit mAb

来源种属Recombinant Rabbit

克隆性Monoclonal

亚型Rabbit IgG

纯化Affinity-chromatography

应用WB;ICC/IF;IHC

种属反应性Human;Mouse;Rat

特异性Phospho-Smad5 (S463/465) Antibody detects endogenous levels of total Phospho-Smad5 (S463/465)

免疫原描述A synthesized peptide derived from human Phospho-Smad5 (S463/465)

标记Unconjugated

别名hSmad5; JV5-1 ; MADH5; SMAD5; MusMLP ;SMAD family member 5;

数据库入口号Uniprot:Q99717

Uniprot Q99717

计算分子量52 kDa

实际分子量58 kDa

配方Rabbit IgG in phosphate buffered saline , pH 7.4, 150mM NaCl, 0.02% sodium azide and 50% glycerol.

保存Store at +4˚C short term. Store at -20˚C long term. Avoid freeze / thaw cycle.

应用详情
WB: 1:500-1:2000
ICC/IF: 1:50-1:200
IHC: 1:50-1:200
All lanes :Smad5 (Phospho-Ser463/Ser465) Rabbit mAb at 1/1k dilution
Lane 1 : HepG2 whole cell lysates
Lane 2 : HepG2 treated with 20 ng/mL TGFβ1 for 15 minutes whole cell lysates
Lysates/proteins at 20 µg per lane.
Secondary
All lanes : Goat Anti-Rabbit IgG H&L (HRP) at 1/20000 dilution
Predicted band size: 52 kDa
Observed band size: 58 kDa
Exposure time: 5 seconds
All lanes :Smad5 (Phospho-Ser463/Ser465) Rabbit mAb at 1/1k dilution
Lane 1 : Mouse Brain lysates
Lane 2 : Rat Brain lysates
Lysates/proteins at 20 µg per lane.
Secondary
All lanes : Goat Anti-Rabbit IgG H&L (HRP) at 1/20000 dilution
Predicted band size: 52 kDa
Observed band size: 58 kDa
Exposure time: 4 seconds
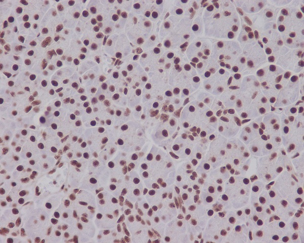
Formalin-fixed;paraffin-embedded human pancreas tissue stained for Smad5 (Phospho-Ser463/Ser465) using 14137 at 1/100 dilution in immunohistochemical analysis.
Immunocytochemistry/ Immunofluorescence Smad5 (Phospho-Ser463/Ser465) antibody (14137)
ICC/IF staining of (Phospho-Ser463/Ser465) in 293T cells. Cells were fixed with 4% Paraformaldehyde permeabilized with 0.1% Triton X-100.
Samples were incubated with 14137 at a working dilution of 1/100. The secondary antibody was Alexa Fluor® 647 goat anti rabbit;used at a dilution of 1/500.
Nuclei were counterstained with DAPI.

如果您使用该产品14137发表了文章,请通知我们,让我们可以引用您的文献。

et al,Diselenide Nanogels Modulate Mitochondrial Function and Mitigate Oxidative Stress in Cardiomyocytes for Enhanced Cardiac Repair , (2025),
PMID: 40028900

注释

应用

  • WB免疫印迹
  • IHC免疫组化
  • IF免疫荧光
  • ICC免疫细胞化学
  • FC流式细胞
  • IP免疫沉淀
  • E酶联免疫吸附法
  • DB免疫斑点法
  • ChIP染色质免疫沉淀
  • GICA胶体金免疫层析法
  • NC阴性对照

种属反应性

  • Hu
  • Ms小鼠
  • Rt大鼠
  • Dm果蝇
  • C线虫
  • Mk
  • Rb
  • B
  • D
  • P
  • Hm仓鼠
  • ChHm中国仓鼠
  • Chk
;

联系我们

Location :

南京市高新开发区星火路10号人才大厦C座

Phone :

400-9961-933
025-58868422

Email Address

info@sabbiotech.com