免费电话:400-9961-933
邮箱:info@sabbiotech.com
欢迎光临本站
川博智能体 English
位置: 首页 > 多克隆抗体 > P38 MAPK Antibody

P38 MAPK Antibody#21245

是否有货: 有货
产品详情

产品名称P38 MAPK Antibody

来源种属Rabbit

克隆性Polyclonal

纯化Antibodies were produced by immunizing rabbits with synthetic peptide and KLH conjugates. Antibodies were purified by affinity-chromatography using epitope-specific peptide.

应用WB;IHC;IF

种属反应性Human;Mouse;Rat

特异性The antibody detects endogenous level of total P38MAPK protein.

免疫原类型Peptide-KLH

免疫原描述Peptide sequence around aa. 180~184 (T-G-Y-V-A) derived from Human P38 MAPK.

基因/蛋白名称P38 MAPK

标记Unconjugated

别名MAPK2; MAPKAPK-2; MAPKAPK2

数据库入口号Swiss-Prot: Q16539
NCBI Protein: NP _001306.1

Uniprot Q16539

计算分子量41kDa

实际分子量41kDa

浓度1.0mg/ml

配方Supplied at 1.0mg/mL in phosphate buffered saline (without Mg2+ and Ca2+), pH 7.4, 150mM NaCl, 0.02% sodium azide and 50% glycerol.

保存Store at -20°C for long term preservation (recommended). Store at 4°C for short term use.

应用详情
WB 1:500-1:2000; IHC 1:50-1:200; IF 1:50-1:200;
Western blot analysis of extracts from 293 and Hela cells using P38 MAPK Antibody.
Western blot analysis of extracts from various cell lines using P38 MAPK Antibody.
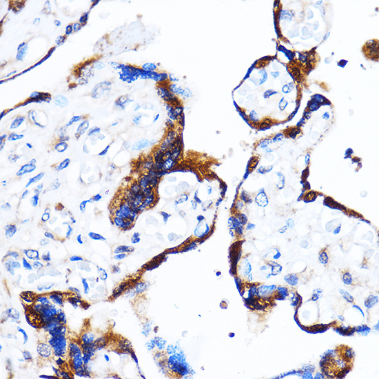
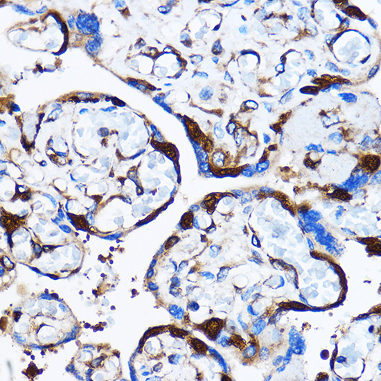
Immunohistochemistry of paraffin-embedded Human placenta using P38 MAPK Antibody.
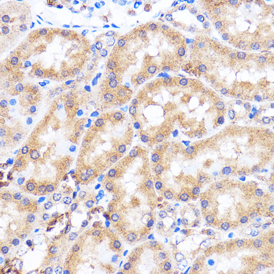
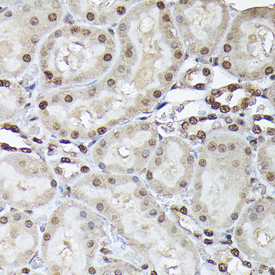
Immunohistochemistry of paraffin-embedded Rat kidney using P38 MAPK Antibody.
Immunohistochemistry analysis of paraffin-embedded Mouse liver using P38 MAPK Antibody at dilution of 1:100 (40x lens).
Immunohistochemistry analysis of paraffin-embedded Rat kidney using P38 MAPK Antibody at dilution of 1:100 (40x lens).
Immunohistochemistry of paraffin-embedded Human placenta using P38 MAPK Antibody.
Immunofluorescence analysis of NIH-3T3 cells using P38 MAPK Antibody.
Immunofluorescence analysis of L929 cells using P38 MAPK Antibody.
Responds to activation by environmental stress, pro-inflammatory cytokines and lipopolysaccharide (LPS) by phosphorylating a number of transcription factors, such as ELK1 and ATF2 and several downstream kinases, such as MAPKAPK2 and MAPKAPK5. Plays a critical role in the production of some cytokines, for example IL-6. May play a role in stabilization of EPO mRNA during hypoxic stress. Isoform Mxi2 activation is stimulated by mitogens and oxidative stress and only poorly phosphorylates ELK1 and ATF2. Isoform Exip may play a role in the early onset of apoptosis.

Ming Zheng, et al.(2005) The FASEB Journal. 19: 109-111
Bernt van den et al.(2001) Blink Immunology, 166: 582-587
Arshad Rahman, et al. (2004) Am J Physiol Lung Cell Mol Physiol 287: L1017-L1024
Osamu Yoshino, et al. (2003) Endocrinology & Metabolism Vol. 88: 2236-2241

如果您使用该产品21245发表了文章,请通知我们,让我们可以引用您的文献。

et al,Attenuating phosphorylation of p38 MAPK in the activated microglia: A new mechanism for intrathecal lidocaine reversing tactile allodynia following chronic constriction injury in rats. , (2008),
PMID: 18191894
et al,In vitro-induced M2 type macrophages induces the resistance of prostate cancer cells to cytotoxic action of NK cells.In Exp Cell Res.On 2018 Mar 1 by Xu L, Shen M et al..PMID: 29408565 , (2018),
PMID: 29408565
et al,Neuroendocrine differentiation contributes to radioresistance development and metastatic potential increase in non-small cell lung cancer.In Biochim Biophys Acta Mol Cell Res. On 2018 Dec by Zhu R, Yang X et al..PMID: 30262435 , (2018),
PMID: 30262435
et al,Radiation Alters PD-L1/NKG2D Ligand Levels in Lung Cancer Cells and Leads to Immune Escape From NK Cell Cytotoxicity via IL-6-MEK/Erk Signaling Pathway.In Oncotarget on 2017 Jul 12 by Ming Jing Shen, Li Jun Xu,et al..PMID:29113321 , (2017),
PMID: 29113321
et al,A solute carrier family 22 member 3 variant rs3088442 G锟?A associated with coronary heart disease inhibits lipopolysaccharide-induced inflammatory response. In J Biol Chem on 2015 Feb 27 by Lu Li, Meian He,et al..PMID:25561729 , (2015),
PMID: 25561729

注释

应用

  • WB免疫印迹
  • IHC免疫组化
  • IF免疫荧光
  • ICC免疫细胞化学
  • FC流式细胞
  • IP免疫沉淀
  • E酶联免疫吸附法
  • DB免疫斑点法
  • ChIP染色质免疫沉淀
  • GICA胶体金免疫层析法
  • NC阴性对照

种属反应性

  • Hu
  • Ms小鼠
  • Rt大鼠
  • Dm果蝇
  • C线虫
  • Mk
  • Rb
  • B
  • D
  • P
  • Hm仓鼠
  • ChHm中国仓鼠
  • Chk
;

联系我们

Location :

南京市高新开发区星火路10号人才大厦C座

Phone :

400-9961-933
025-58868422

Email Address

info@sabbiotech.com