免费电话:400-9961-933
邮箱:info@sabbiotech.com
欢迎光临本站
川博智能体 English
位置: 首页 > 多克隆抗体 > G protein-coupled receptor 120 antibody

G protein-coupled receptor 120 antibody#22831

是否有货: 有货
产品详情

产品名称G protein-coupled receptor 120 antibody

来源种属Rabbit

克隆性Polyclonal

纯化Purified by antigen-affinity chromatography.

应用WB IHC

种属反应性Human

免疫原类型Peptide

免疫原描述Synthetic peptide contain a sequence corresponding to a region within amino acids 1 and 41 of Human GPR120

基因/蛋白名称G protein-coupled receptor 120

标记Unconjugated

数据库入口号NCBI Gene ID: 338557
NCBI mRNA#: NM_181745
NCBI Protein#: NP_859529

浓度1mg/ml

配方Supplied in 0.1M Tris-buffered saline with 10% Glycerol (pH7.0). 0.01% Thimerosal was added as a preservative.

保存Store at -20˚C for long term preservation (recommended). Store at 4˚C for short term use.

应用详情
Predicted MW: 42kd
Western blotting: 1:500-1:2000
Immunohistochemistry: 1:50-1:500
Sample (30 ug of whole cell lysate)
A: Hela
10% SDS PAGE
Primary antibody diluted at 1: 2000
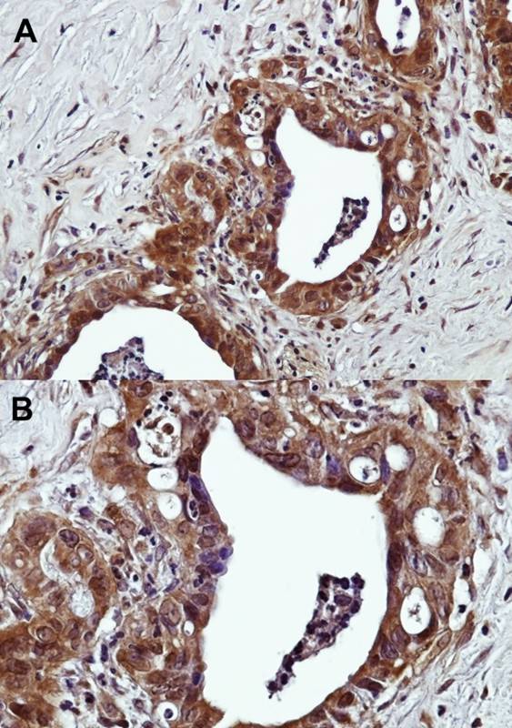
A:Immunohistochemical analysis of paraffin-embedded Human prostate adenocarcinoma, using GPR120 antibody at 1: 500 dilution.(20X). B:Immunohistochemical analysis of paraffin-embedded Human prostate adenocarcinoma, using GPR120 antibody at 1: 500 dilution.(40X)
GPR120 is a member of the rhodopsin family of G protein-coupled receptors (GPRs) (Fredriksson et al., 2003 [PubMed 14623098]).[supplied by OMIM]

如果您使用该产品22831发表了文章,请通知我们,让我们可以引用您的文献。

et al,Betaine-homocysteine methyltransferase protects against acetaminophen-induced acute liver failure via BACH1-SCD1-oleic acid axis , (2025),
PMID: 40764413

注释

应用

  • WB免疫印迹
  • IHC免疫组化
  • IF免疫荧光
  • ICC免疫细胞化学
  • FC流式细胞
  • IP免疫沉淀
  • E酶联免疫吸附法
  • DB免疫斑点法
  • ChIP染色质免疫沉淀
  • GICA胶体金免疫层析法
  • NC阴性对照

种属反应性

  • Hu
  • Ms小鼠
  • Rt大鼠
  • Dm果蝇
  • C线虫
  • Mk
  • Rb
  • B
  • D
  • P
  • Hm仓鼠
  • ChHm中国仓鼠
  • Chk
;

联系我们

Location :

南京市高新开发区星火路10号人才大厦C座

Phone :

400-9961-933
025-58868422

Email Address

info@sabbiotech.com