免费电话:400-9961-933
邮箱:info@sabbiotech.com
欢迎光临本站
川博智能体 English
位置: 首页 > 多克隆抗体 > IL17RE Polyclonal Antibody

IL17RE Polyclonal Antibody#28500

是否有货: Yes
产品详情

产品名称IL17RE Polyclonal Antibody

来源种属Rabbit

克隆性Polyclonal

亚型IgG

纯化Affinity purification

应用WB

种属反应性Human;Mouse

免疫原描述Recombinant fusion protein of human IL17RE (NP_705613.1).

标记Unconjugated

别名IL17RE; interleukin-17 receptor E

数据库入口号Swiss-Prot#:Q8NFR9
NCBI Gene ID:132014

Uniprot Q8NFR9

计算分子量75kDa

配方Avoid freeze / thaw cycles.|Buffer: PBS with 50% glycerol, pH7.4.

保存Store at -20˚C

应用详情
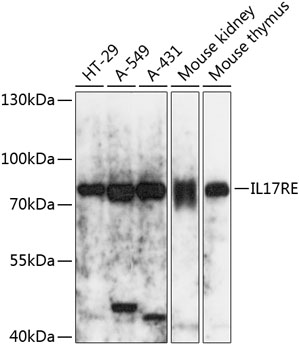
WB 1:500 - 1:2000
Western blot analysis of extracts of various cell lines, using IL17RE antibody.
This gene encodes a transmembrane protein that functions as the receptor for interleukin-17C. The encoded protein signals to downstream components of the mitogen activated protein kinase (MAPK) pathway. Activity of this protein is important in the immune response to bacterial pathogens. Alternatively spliced transcript variants have been described for this gene.

如果您使用该产品28500发表了文章,请通知我们,让我们可以引用您的文献。

et al,Fisetin promotes ischemic flap survival by enhancing autophagy via inhibition of the PI3K/Akt/mTOR signaling pathway , (2025),
PMID: 41475611

注释

应用

  • WB免疫印迹
  • IHC免疫组化
  • IF免疫荧光
  • ICC免疫细胞化学
  • FC流式细胞
  • IP免疫沉淀
  • E酶联免疫吸附法
  • DB免疫斑点法
  • ChIP染色质免疫沉淀
  • GICA胶体金免疫层析法
  • NC阴性对照

种属反应性

  • Hu
  • Ms小鼠
  • Rt大鼠
  • Dm果蝇
  • C线虫
  • Mk
  • Rb
  • B
  • D
  • P
  • Hm仓鼠
  • ChHm中国仓鼠
  • Chk
;

联系我们

Location :

南京市高新开发区星火路10号人才大厦C座

Phone :

400-9961-933
025-58868422

Email Address

info@sabbiotech.com