免费电话:400-9961-933
邮箱:info@sabbiotech.com
欢迎光临本站
川博智能体 English
位置: 首页 > 多克隆抗体 > CREB1 Antibody

CREB1 Antibody#32215

是否有货: 有货
产品详情

产品名称CREB1 Antibody

来源种属Rabbit

克隆性Polyclonal

纯化Affinity purification

应用WB;IHC;IF;IP

种属反应性Human;Mouse;Rat

特异性The antibody detects endogenous level of total CREB1 protein.

免疫原类型Recombinant Protein

免疫原描述Recombinant protein of human CREB1.

基因/蛋白名称CREB1

标记Unconjugated

别名CREB1; CREB; MGC9284;

数据库入口号Swiss-Prot:P16220
NCBI Gene ID:1385

Uniprot P16220

计算分子量35kDa

实际分子量43kDa

浓度1.0mg/ml

配方PBS containing 50% glycerol, preserved with proclin300 or sodium azide (as specified on the Certificate of Analysis), pH 7.3.

保存Store at -20˚C

应用详情
WB 1:500 - 1:2000;
IHC 1:50 - 1:200;
IF 1:50 - 1:200;
IP 0.5ug-4ug antibody for 200ug-400ug extracts of whole cells
Western blot analysis of various lysates using CREB1 at 1:1000 dilution
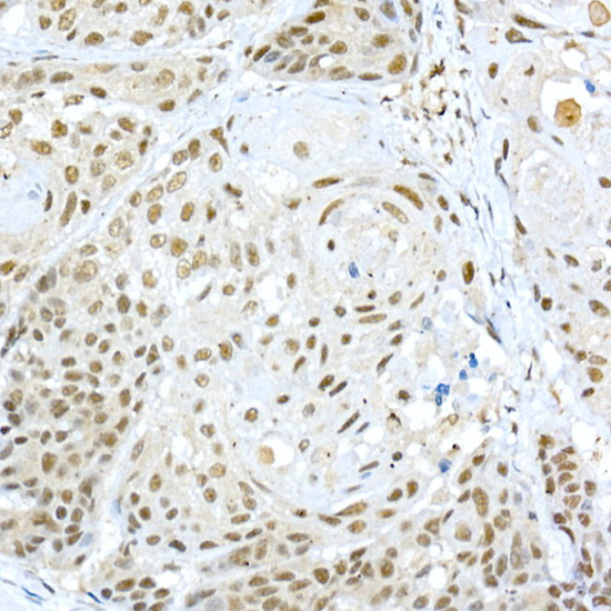
Immunohistochemistry analysis of paraffin-embedded Human esophageal cancer using CREB1 at dilution of 1:50 (40x lens).
Immunohistochemistry analysis of paraffin-embedded Mouse brain using CREB1 at dilution of 1:50 (40x lens).
Immunohistochemistry analysis of paraffin-embedded Rat lung using CREB1 at dilution of 1:50 (40x lens).
Immunofluorescence analysis of HeLa cells using CREB1 at a dilution of 1:25 (40x lens).
Immunoprecipitation analysis of 300 ug extracts of LO2 cells using 3 ug CREB1 antibody . Western blot was performed from the immunoprecipitate using CREB1 antibody at a dilution of 1:1000.
CREB is a bZIP transcription factor that activates target genes through cAMP response elements. CREB is able to mediate signals from numerous physiological stimuli, resulting in regulation of a broad array of cellular responses. While CREB is expressed in numerous tissues, it plays a large regulatory role in the nervous system. CREB is believed to play a key role in promoting neuronal survival, precursor proliferation, neurite outgrowth, and neuronal differentiation in certain neuronal populations (1-3). Additionally, CREB signaling is involved in learning and memory in several organisms (4-6). CREB is able to selectively activate numerous downstream genes through interactions with different dimerization partners. CREB is activated by phosphorylation at Ser133 by various signaling pathways including Erk, Ca2+, and stress signaling. Some of the kinases involved in phosphorylating CREB at Ser133 are p90RSK, MSK, CaMKIV, and MAPKAPK-2 (7-9).

如果您使用该产品32215发表了文章,请通知我们,让我们可以引用您的文献。

et al,尾-Cryptoxanthin Suppresses UVB-induced Melanogenesis in Mouse: Involvement of the Inhibition of Prostaglandin E2 and Melanocyte-Stimulating Hormone Pathways. In J Pharm Pharmacol on 2012 Aug by Hiroshi Shimoda, Shao-Jie Shan, et al..PMID: 22775220 , (2012),
PMID: 22775220
et al,Gene expression pattern in PC12 cells with reduced PMCA2 or PMCA3 isoform: selective up-regulation of calmodulin and neuromodulin. In Mol Cell Biochem on 2012 Jan by Tomasz Boczek, Anna Kozaczuk, et al..PMID: 21912933 , (2012),
PMID: 21912933
et al,Classical prescription Daqinjiao decoction inhibit cerebral ischemia/reperfusion induced necroptosis and ferroptosis through multiple mechanisms. , (2025),
PMID: 39736347

注释

应用

  • WB免疫印迹
  • IHC免疫组化
  • IF免疫荧光
  • ICC免疫细胞化学
  • FC流式细胞
  • IP免疫沉淀
  • E酶联免疫吸附法
  • DB免疫斑点法
  • ChIP染色质免疫沉淀
  • GICA胶体金免疫层析法
  • NC阴性对照

种属反应性

  • Hu
  • Ms小鼠
  • Rt大鼠
  • Dm果蝇
  • C线虫
  • Mk
  • Rb
  • B
  • D
  • P
  • Hm仓鼠
  • ChHm中国仓鼠
  • Chk
;

联系我们

Location :

南京市高新开发区星火路10号人才大厦C座

Phone :

400-9961-933
025-58868422

Email Address

info@sabbiotech.com