免费电话:400-9961-933
邮箱:info@sabbiotech.com
欢迎光临本站
川博智能体 English
位置: 首页 > 多克隆抗体 > TPH1 Antibody

TPH1 Antibody#35965

是否有货: 有货
产品详情

产品名称TPH1 Antibody

来源种属Rabbit

克隆性Polyclonal

纯化Antigen affinity purification.

应用IHC

种属反应性Human

特异性The antibody detects endogenous levels of total TPH1 protein.

免疫原类型Recombinant Protein

免疫原描述Fusion protein corresponding to residues near the C terminal of human tryptophan hydroxylase 1

基因/蛋白名称TPH1

标记Unconjugated

别名TPRH; TRPH

数据库入口号Swiss-Prot#: P17752
NCBI Gene ID: 7166
Gene Accssion: BC106739

Uniprot P17752

浓度0.7mg/ml

配方Rabbit IgG in pH7.3 PBS, 0.05% NaN3, 50% Glycerol.

保存Store at -20˚C

应用详情
Immunohistochemistry: 1:15-1:50
Immunohistochemical analysis of paraffin-embedded Human thyroid cancer tissue using #35965 at dilution 1/20.
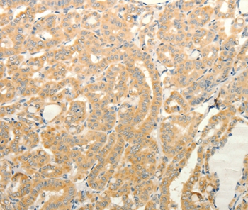
Immunohistochemical analysis of paraffin-embedded Human gastric cancer tissue using #35965 at dilution 1/20.
This gene encodes a member of the aromatic amino acid hydroxylase family. The encoded protein catalyzes the first and rate limiting step in the biosynthesis of serotonin, an important hormone and neurotransmitter. Mutations in this gene have been associated with an elevated risk for a variety of diseases and disorders, including schizophrenia, somatic anxiety, anger-related traits, bipolar disorder, suicidal behavior, addictions, and others.

如果您使用该产品35965发表了文章,请通知我们,让我们可以引用您的文献。

et al,The activation of 5-hydroxytryptamine degradation system in proximal renal tubular epithelial cells induced by renal ischemia-reperfusion injury , (2021),
PMID:
et al,Nephrotoxicity induced by cisplatin is primarily due to the activation of the 5-hydroxytryptamine degradation system in proximal renal tubules , (2021),
PMID:

注释

应用

  • WB免疫印迹
  • IHC免疫组化
  • IF免疫荧光
  • ICC免疫细胞化学
  • FC流式细胞
  • IP免疫沉淀
  • E酶联免疫吸附法
  • DB免疫斑点法
  • ChIP染色质免疫沉淀
  • GICA胶体金免疫层析法
  • NC阴性对照

种属反应性

  • Hu
  • Ms小鼠
  • Rt大鼠
  • Dm果蝇
  • C线虫
  • Mk
  • Rb
  • B
  • D
  • P
  • Hm仓鼠
  • ChHm中国仓鼠
  • Chk
;

联系我们

Location :

南京市高新开发区星火路10号人才大厦C座

Phone :

400-9961-933
025-58868422

Email Address

info@sabbiotech.com