免费电话:400-9961-933
邮箱:info@sabbiotech.com
欢迎光临本站
川博智能体 English
位置: 首页 > 多克隆抗体 > AKR1B10 Antibody

AKR1B10 Antibody#36071

是否有货: 有货
产品详情

产品名称AKR1B10 Antibody

来源种属Rabbit

克隆性Polyclonal

纯化Antigen affinity purification.

应用WB IHC

种属反应性Human

特异性The antibody detects endogenous levels of total AKR1B10 protein.

免疫原类型Recombinant Protein

免疫原描述Full length fusion protein

基因/蛋白名称AKR1B10

标记Unconjugated

别名HIS; HSI; ARL1; ARL-1; ALDRLn; AKR1B11; AKR1B12

数据库入口号Swiss-Prot#: O60218
NCBI Gene ID: 57016
Gene Accssion: BC008837

Uniprot O60218

实际分子量36kd

浓度0.7mg/ml

配方Rabbit IgG in pH7.3 PBS, 0.05% NaN3, 50% Glycerol.

保存Store at -20˚C

应用详情
Western blotting: 1:200-1:1000
Immunohistochemistry: 1:25-1:100
Gel: 10%SDS-PAGE
Lysates (from left to right): Raji and Jurkat cell
Amount of lysate: 40ug per lane
Primary antibody: 1/175 dilution
Secondary antibody dilution: 1/8000
Exposure time: 10 seconds
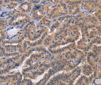
Immunohistochemical analysis of paraffin-embedded Human thyroid cancer tissue using #36071 at dilution 1/20.
This gene encodes a member of the aldo/keto reductase superfamily, which consists of more than 40 known enzymes and proteins. This member can efficiently reduce aliphatic and aromatic aldehydes, and it is less active on hexoses. It is highly expressed in adrenal gland, small intestine, and colon, and may play an important role in liver carcinogenesis.

如果您使用该产品36071发表了文章,请通知我们,让我们可以引用您的文献。

et al,AKR1B10 dictates c-Myc stability to suppress colorectal cancer metastasis via PP2A nitration , (2025),
PMID: 40845116

注释

应用

  • WB免疫印迹
  • IHC免疫组化
  • IF免疫荧光
  • ICC免疫细胞化学
  • FC流式细胞
  • IP免疫沉淀
  • E酶联免疫吸附法
  • DB免疫斑点法
  • ChIP染色质免疫沉淀
  • GICA胶体金免疫层析法
  • NC阴性对照

种属反应性

  • Hu
  • Ms小鼠
  • Rt大鼠
  • Dm果蝇
  • C线虫
  • Mk
  • Rb
  • B
  • D
  • P
  • Hm仓鼠
  • ChHm中国仓鼠
  • Chk
;

联系我们

Location :

南京市高新开发区星火路10号人才大厦C座

Phone :

400-9961-933
025-58868422

Email Address

info@sabbiotech.com