免费电话:400-9961-933
邮箱:info@sabbiotech.com
欢迎光临本站
川博智能体 English
位置: 首页 > 多克隆抗体 > INSIG2 Antibody

INSIG2 Antibody#36556

是否有货: 有货
产品详情

产品名称INSIG2 Antibody

来源种属Rabbit

克隆性Polyclonal

纯化Antigen affinity purification.

应用IHC

种属反应性Human

特异性The antibody detects endogenous levels of total INSIG2 protein.

免疫原类型Recombinant Protein

免疫原描述Fusion protein corresponding to a region derived from internal residues of human insulin induced gene 2

基因/蛋白名称INSIG2

标记Unconjugated

别名INSI2;INSIG2 membrane protein; insulin induced protein 2

数据库入口号Swiss-Prot#: Q9Y5U4
NCBI Gene ID: 51141
Gene Accssion: BC022475

Uniprot Q9Y5U4

浓度1.4mg/ml

配方Rabbit IgG in pH7.3 PBS, 0.05% NaN3, 50% Glycerol.

保存Store at -20˚C

应用详情
Immunohistochemistry: 1:25-1:100
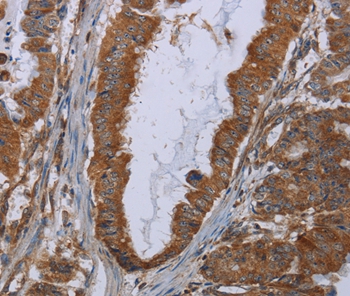
Immunohistochemical analysis of paraffin-embedded Human esophagus cancer tissue using #36556 at dilution 1/30.
Immunohistochemical analysis of paraffin-embedded Human brain tissue using #36556 at dilution 1/30.
The protein encoded by this gene is highly similar to the protein product encoded by gene INSIG1. Both INSIG1 protein and this protein are endoplasmic reticulum proteins that block the processing of sterol regulatory element binding proteins (SREBPs) by binding to SREBP cleavage-activating protein (SCAP), and thus prevent SCAP from escorting SREBPs to the Golgi.

如果您使用该产品36556发表了文章,请通知我们,让我们可以引用您的文献。

et al,The gluconeogenic enzyme PCK1 phosphorylates INSIG1/2 for lipogenesis , (2020),
PMID: 32322062

注释

应用

  • WB免疫印迹
  • IHC免疫组化
  • IF免疫荧光
  • ICC免疫细胞化学
  • FC流式细胞
  • IP免疫沉淀
  • E酶联免疫吸附法
  • DB免疫斑点法
  • ChIP染色质免疫沉淀
  • GICA胶体金免疫层析法
  • NC阴性对照

种属反应性

  • Hu
  • Ms小鼠
  • Rt大鼠
  • Dm果蝇
  • C线虫
  • Mk
  • Rb
  • B
  • D
  • P
  • Hm仓鼠
  • ChHm中国仓鼠
  • Chk
;

联系我们

Location :

南京市高新开发区星火路10号人才大厦C座

Phone :

400-9961-933
025-58868422

Email Address

info@sabbiotech.com