免费电话:400-9961-933
邮箱:info@sabbiotech.com
欢迎光临本站
川博智能体 English
位置: 首页 > 多克隆抗体 > FZD10 Antibody

FZD10 Antibody#37298

是否有货: 有货
产品详情

产品名称FZD10 Antibody

来源种属Rabbit

克隆性Polyclonal

纯化Antigen affinity purification.

应用IHC

种属反应性Human;Mouse

特异性The antibody detects endogenous levels of total FZD10 protein.

免疫原类型Peptide

免疫原描述Synthetic peptide corresponding to a region derived from internal residues of human frizzled family receptor 10

基因/蛋白名称FZD10

标记Unconjugated

别名Fz10; FzE7; CD350; FZ-10; hFz10

数据库入口号Swiss-Prot#: Q9ULW2
NCBI Gene ID: 11211
Gene Accssion: NP_009128

Uniprot Q9ULW2

浓度1.9mg/ml

配方Rabbit IgG in pH7.3 PBS, 0.05% NaN3, 50% Glycerol.

保存Store at -20˚C

应用详情
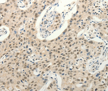
Immunohistochemistry: 1:50-1:200
Immunohistochemical analysis of paraffin-embedded Human lung cancer tissue using #37298 at dilution 1/50.
Immunohistochemical analysis of paraffin-embedded Human ovarian cancer tissue using #37298 at dilution 1/50.
This gene is a member of the frizzled gene family. Members of this family encode 7-transmembrane domain proteins that are receptors for the Wingless type MMTV integration site family of signaling proteins. Most frizzled receptors are coupled to the beta-catenin canonical signaling pathway. Using array analysis, expression of this intronless gene is significantly up-regulated in two cases of primary colon cancer.

如果您使用该产品37298发表了文章,请通知我们,让我们可以引用您的文献。

et al,METTL3 regulates m6A in endometrioid epithelial ovarian cancer independently of METTl14 and WTAP , (2020),
PMID: 32869897

注释

应用

  • WB免疫印迹
  • IHC免疫组化
  • IF免疫荧光
  • ICC免疫细胞化学
  • FC流式细胞
  • IP免疫沉淀
  • E酶联免疫吸附法
  • DB免疫斑点法
  • ChIP染色质免疫沉淀
  • GICA胶体金免疫层析法
  • NC阴性对照

种属反应性

  • Hu
  • Ms小鼠
  • Rt大鼠
  • Dm果蝇
  • C线虫
  • Mk
  • Rb
  • B
  • D
  • P
  • Hm仓鼠
  • ChHm中国仓鼠
  • Chk
;

联系我们

Location :

南京市高新开发区星火路10号人才大厦C座

Phone :

400-9961-933
025-58868422

Email Address

info@sabbiotech.com