免费电话:400-9961-933
邮箱:info@sabbiotech.com
欢迎光临本站
川博智能体 English
位置: 首页 > 多克隆抗体 > ABCC9 Antibody

ABCC9 Antibody#40229

是否有货: Yes
产品详情

产品名称ABCC9 Antibody

来源种属Rabbit

克隆性Polyclonal

纯化Antigen affinity purification.

应用WB IHC

种属反应性Human;Mouse;Rat

特异性The antibody detects endogenous levels of total ABCC9 protein.

免疫原类型Peptide

免疫原描述Synthetic peptide corresponding to residues near the C terminal of human ATP-binding cassette, sub-family C (CFTR/MRP), member 9

基因/蛋白名称ABCC9

标记Unconjugated

别名SUR2; ABC37; CANTU; CMD1O; ATFB12

数据库入口号Swiss-Prot:O60706
Gene Accssion:NP_005682

Uniprot O60706

实际分子量175KD

浓度1.1mg/ml

配方Rabbit IgG in pH7.4 PBS, 0.05% NaN3, 40% Glycerol.

保存Store at -20˚C

应用详情
Western blotting: 1:200-1:1000
Immunohistochemistry: 1:100-1:200
Gel: 6%SDS-PAGE
Lysate: 40ug Mouse bladder tissuePrimary antibody: 1/300 dilution
Secondary antibody dilution: 1/8000
Exposure time: 5 minutes
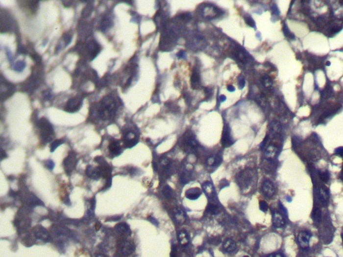
Immunohistochemical analysis of paraffin-embedded Human Liver cancer tissue using #40229 at dilution 1/100.
The protein encoded by this gene is a member of the superfamily of ATP-binding cassette (ABC) transporters. ABC proteins transport various molecules across extra- and intra-cellular membranes. ABC genes are divided into seven distinct subfamilies (ABC1, MDR/TAP, MRP, ALD, OABP, GCN20, White). This protein is a member of the MRP subfamily which is involved in multi-drug resistance. This protein is thought to form ATP-sensitive potassium channels in cardiac, skeletal, and vascular and non-vascular smooth muscle.?

如果您使用该产品40229发表了文章,请通知我们,让我们可以引用您的文献。

et al,ABCC9 knockdown attenuates isoproterenol-induced myocardial hypertrophy by inhibiting the PI3K/AKT signaling pathway , (2025),
PMID: 41347799

注释

应用

  • WB免疫印迹
  • IHC免疫组化
  • IF免疫荧光
  • ICC免疫细胞化学
  • FC流式细胞
  • IP免疫沉淀
  • E酶联免疫吸附法
  • DB免疫斑点法
  • ChIP染色质免疫沉淀
  • GICA胶体金免疫层析法
  • NC阴性对照

种属反应性

  • Hu
  • Ms小鼠
  • Rt大鼠
  • Dm果蝇
  • C线虫
  • Mk
  • Rb
  • B
  • D
  • P
  • Hm仓鼠
  • ChHm中国仓鼠
  • Chk
;

联系我们

Location :

南京市高新开发区星火路10号人才大厦C座

Phone :

400-9961-933
025-58868422

Email Address

info@sabbiotech.com