免费电话:400-9961-933
邮箱:info@sabbiotech.com
欢迎光临本站
川博智能体 English
位置: 首页 > 多克隆抗体 > CD284 Polyclonal Antibody

CD284 Polyclonal Antibody#40697

是否有货: 有货
产品详情

产品名称CD284 Polyclonal Antibody

来源种属Rabbit

克隆性Polyclonal

纯化The antibody was affinity-purified from rabbit antiserum by affinity-chromatography using epitope-specific immunogen.

应用WB;IHC;IF;ELISA

种属反应性Human;Mouse

特异性CD284 Polyclonal Antibody detects endogenous levels of CD284 protein.

免疫原类型peptide

免疫原描述Synthesized peptide derived from the Internal region of human CD284.

基因/蛋白名称CD284

标记Unconjugated

别名TLR4; Toll-like receptor 4; hToll; CD antigen CD284

数据库入口号Swiss-Prot: O00206
NCBI Gene ID: 7099

Uniprot O00206

实际分子量95kd

浓度1mg/ml

配方Liquid in PBS containing 50% glycerol, 0.5% BSA and 0.02% sodium azide.

保存Store at -20˚C/1 year

应用详情
WB 1:500-1:2000;
IHC 1:100-1:300;
IF 1:50-200;
ELISA 1:40000;
Western Blot analysis of COLO205 cells using CD284 Polyclonal Antibody
Western Blot analysis of KB HELA cells using CD284 Polyclonal Antibody
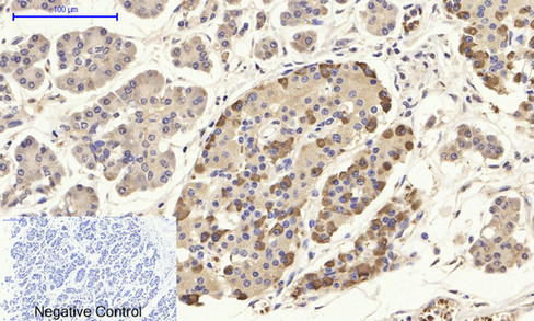
Immunohistochemical analysis of paraffin-embedded Human-stomach-cancer tissue.
Immunohistochemistry analysis of TLR4 antibody in paraffin-embedded human brain tissue.
Immunofluorescence analysis of A549.
Immunofluorescence analysis of human-stomach tissue.
Immunofluorescence analysis of human-stomach tissue.

如果您使用该产品40697发表了文章,请通知我们,让我们可以引用您的文献。

et al,Endoplasmic Reticulum Stress Drives Neuroinflammation Through Lipocalin 2 Upregulation in Retinal Microglia After Optic Nerve Injury , (2025),
PMID: 40327012

注释

应用

  • WB免疫印迹
  • IHC免疫组化
  • IF免疫荧光
  • ICC免疫细胞化学
  • FC流式细胞
  • IP免疫沉淀
  • E酶联免疫吸附法
  • DB免疫斑点法
  • ChIP染色质免疫沉淀
  • GICA胶体金免疫层析法
  • NC阴性对照

种属反应性

  • Hu
  • Ms小鼠
  • Rt大鼠
  • Dm果蝇
  • C线虫
  • Mk
  • Rb
  • B
  • D
  • P
  • Hm仓鼠
  • ChHm中国仓鼠
  • Chk
;

联系我们

Location :

南京市高新开发区星火路10号人才大厦C座

Phone :

400-9961-933
025-58868422

Email Address

info@sabbiotech.com