免费电话:400-9961-933
邮箱:info@sabbiotech.com
欢迎光临本站
川博智能体 English
位置: 首页 > 多克隆抗体 > Granzyme K Polyclonal Antibody

Granzyme K Polyclonal Antibody#40985

是否有货: 有货
产品详情

产品名称Granzyme K Polyclonal Antibody

来源种属Rabbit

克隆性Polyclonal

纯化The antibody was affinity-purified from rabbit antiserum by affinity-chromatography using epitope-specific immunogen.

应用WB IHC IF ELISA

种属反应性Human;Mouse;Rat

特异性Granzyme K Polyclonal Antibody detects endogenous levels of Granzyme K protein.

免疫原描述Synthesized peptide derived from the Internal region of human Granzyme K.

基因/蛋白名称Granzyme K

标记Unconjugated

别名GZMK; TRYP2; Granzyme K; Fragmentin-3; Granzyme-3; NK-tryptase-2; NK-Tryp-2

数据库入口号Swiss-Prot: P49863
NCBI Gene ID: 3003

Uniprot P49863

实际分子量33kd

浓度1mg/ml

配方Liquid in PBS containing 50% glycerol, 0.5% BSA and 0.02% sodium azide.

保存Store at -20˚C/1 year

应用详情

Western Blot: 1/500 - 1/2000.
Immunohistochemistry: 1/100 - 1/300.
Immunofluorescence: 1/200 - 1/1000.
ELISA: 1/20000.
Not yet tested in other applications.

Western Blot analysis of Jurkat cells using Granzyme K Polyclonal Antibody
Immunofluorescence analysis of NIH/3T3 cells, using GRAK Antibody. The picture on the right is blocked with the synthesized peptide.
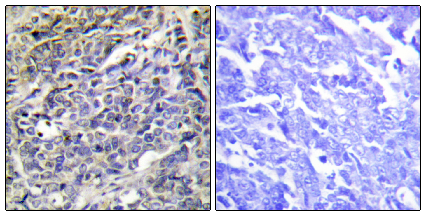
Immunohistochemistry analysis of paraffin-embedded human lung carcinoma tissue, using GRAK Antibody. The picture on the right is blocked with the synthesized peptide.
Western blot analysis of lysates from Jurkat cells, using GRAK Antibody. The lane on the right is blocked with the synthesized peptide.

如果您使用该产品40985发表了文章,请通知我们,让我们可以引用您的文献。

et al,Longitudinal plasma proteome profiling reveals the diversity of biomarkers for diagnosis and cetuximab therapy response of colorectal cancer. In Nat Commun on 2024 Feb 1 by Yan Li, Bing Wang,et al..PMID:38302471 , (2024),
PMID: 38302471

注释

应用

  • WB免疫印迹
  • IHC免疫组化
  • IF免疫荧光
  • ICC免疫细胞化学
  • FC流式细胞
  • IP免疫沉淀
  • E酶联免疫吸附法
  • DB免疫斑点法
  • ChIP染色质免疫沉淀
  • GICA胶体金免疫层析法
  • NC阴性对照

种属反应性

  • Hu
  • Ms小鼠
  • Rt大鼠
  • Dm果蝇
  • C线虫
  • Mk
  • Rb
  • B
  • D
  • P
  • Hm仓鼠
  • ChHm中国仓鼠
  • Chk
;

联系我们

Location :

南京市高新开发区星火路10号人才大厦C座

Phone :

400-9961-933
025-58868422

Email Address

info@sabbiotech.com