免费电话:400-9961-933
邮箱:info@sabbiotech.com
欢迎光临本站
川博智能体 English
位置: 首页 > 多克隆抗体 > STAT1 Polyclonal Antibody

STAT1 Polyclonal Antibody#41462

是否有货: 有货
产品详情

产品名称STAT1 Polyclonal Antibody

来源种属Rabbit

克隆性Polyclonal

纯化The antibody was affinity-purified from rabbit antiserum by affinity-chromatography using epitope-specific immunogen.

应用WB;IHC;IF;IP;ELISA

种属反应性Human;Mouse;Rat;Monkey

特异性Stat1 Polyclonal Antibody detects endogenous levels of Stat1 protein.

免疫原描述Synthesized peptide derived from human Stat1 around the non-phosphorylation site of Y701.

基因/蛋白名称Stat1

标记Unconjugated

别名STAT1; Signal transducer and activator of transcription 1-alpha/beta; Transcription factor ISGF-3 components p91/p84

数据库入口号Swiss-Prot: P42224
NCBI Gene ID: 6772

Uniprot P42224

计算分子量84kDa

实际分子量84,91kDa

浓度1mg/ml

配方Liquid in PBS containing 50% glycerol, 0.5% BSA and 0.02% sodium azide.

保存Store at -20˚C/1 year

应用详情
WB 1:1000-2000; IHC 1:50-300; IF 1:50-300; IP 1:50-1:200; ELISA 1:5000-1:20000;
Western Blot analysis of Rat muscle cells using Stat1 Polyclonal Antibody
Western Blot analysis of COS7 cells using Stat1 Polyclonal Antibody
Western blot analysis of extracts from MCF-7, 3T3 and Hela cells using STAT1 Polyclonal Antibody.
Immunohistochemistry of paraffin-embedded Rat ovary using STAT1 Polyclonal Antibody.
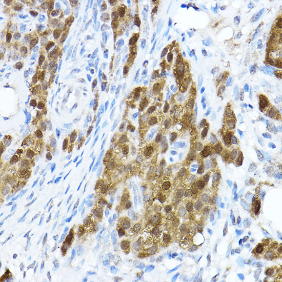
Immunohistochemistry of paraffin-embedded Human liver cancer using STAT1 Polyclonal Antibody.
Immunohistochemistry of paraffin-embedded Human breast cancer using STAT1 Polyclonal Antibody.
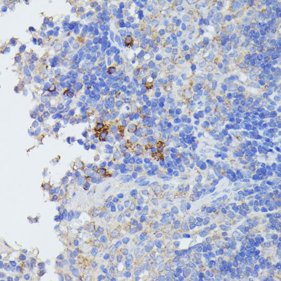
Immunohistochemistry of paraffin-embedded Mouse spleen using STAT1 Polyclonal Antibody.
Immunofluorescence analysis of L929 cells using STAT1 Polyclonal Antibody. Blue: DAPI for nuclear staining.
Immunofluorescence analysis of U2OS cells using STAT1 Polyclonal Antibody. Blue: DAPI for nuclear staining.

如果您使用该产品41462发表了文章,请通知我们,让我们可以引用您的文献。

et al,Inhibition of TPL2 by interferon-α suppresses bladder cancer through activation of PDE4D.In J Exp Clin Cancer Res. On 2018 Nov 27 by Qiang Z, Zhou ZY et al..PMID: 30482227 , (2018),
PMID: 30482227
et al,Identification of Cytochrome P450 2E1 as a Novel Target in Neuroinflammation and Development of Its Inhibitor Q11 as a Treatment Strategy. , (2025),
PMID: 40122152
et al,Dendrobium officinale polysaccharide inhibits M1 macrophage polarization via activating SENP1-SIRT3 signaling and alleviates ulcerative colitis , (2025),
PMID: 41185333

注释

应用

  • WB免疫印迹
  • IHC免疫组化
  • IF免疫荧光
  • ICC免疫细胞化学
  • FC流式细胞
  • IP免疫沉淀
  • E酶联免疫吸附法
  • DB免疫斑点法
  • ChIP染色质免疫沉淀
  • GICA胶体金免疫层析法
  • NC阴性对照

种属反应性

  • Hu
  • Ms小鼠
  • Rt大鼠
  • Dm果蝇
  • C线虫
  • Mk
  • Rb
  • B
  • D
  • P
  • Hm仓鼠
  • ChHm中国仓鼠
  • Chk
;

联系我们

Location :

南京市高新开发区星火路10号人才大厦C座

Phone :

400-9961-933
025-58868422

Email Address

info@sabbiotech.com