免费电话:400-9961-933
邮箱:info@sabbiotech.com
欢迎光临本站
川博智能体 English
位置: 首页 > 多克隆抗体 > Apelin Polyclonal Antibody

Apelin Polyclonal Antibody#41574

是否有货: 有货
产品详情

产品名称Apelin Polyclonal Antibody

来源种属Rabbit

克隆性Polyclonal

纯化The antibody was affinity-purified from rabbit antiserum by affinity-chromatography using epitope-specific immunogen.

应用WB;IHC;IF;ELISA

种属反应性Human;Mouse;Rat

特异性Apelin Polyclonal Antibody detects endogenous levels of Apelin protein.

免疫原描述Synthesized peptide derived from the C-terminal region of human Apelin.

基因/蛋白名称Apelin

标记Unconjugated

别名APLN; APEL; Apelin; APJ endogenous ligand

数据库入口号Swiss-Prot: Q9ULZ1
NCBI Gene ID: 8862

Uniprot Q9ULZ1

实际分子量16kd

浓度1mg/ml

配方Liquid in PBS containing 50% glycerol, 0.5% BSA and 0.02% sodium azide.

保存Store at -20˚C/1 year

应用详情
WB 1:500-1:2000;
IHC 1:100-1:300;
IF 1:100-300
ELISA 1:20000
Western Blot analysis of 22RV-1 H460 U87 mouse brain cells using Apelin Polyclonal Antibody
Western blot analysis of lysate from 22RV-1 cells, using Apelin Polyclonal Antibody.
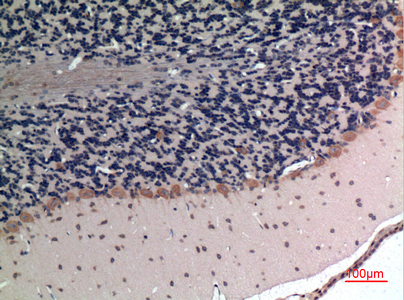
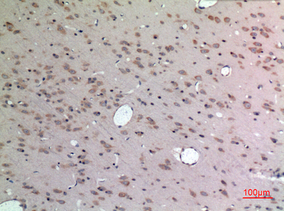
Immunohistochemical analysis of paraffin-embedded rat-brain, antibody was diluted at 1:100
Immunohistochemical analysis of paraffin-embedded rat-brain, antibody was diluted at 1:100
Immunofluorescence analysis of A549;
1,primary Antibody(red) was diluted at 1:200(4℃ overnight);
2, Goat Anti Rabbit IgG (H&L) - Alexa Fluor 594 Secondary antibody was diluted at 1:1000(room temperature, 50min);
3, DAPI(blue) 10min.

如果您使用该产品41574发表了文章,请通知我们,让我们可以引用您的文献。

et al,Icariin Ameliorates Diabetic Cardiomyopathy Through Apelin/Sirt3 Signalling to Improve Mitochondrial Dysfunction.In Front Pharmacol on 2020 Mar 19; by Ni T, Lin N, et al..PMID: 32265695 , (2020),
PMID: 32265695

注释

应用

  • WB免疫印迹
  • IHC免疫组化
  • IF免疫荧光
  • ICC免疫细胞化学
  • FC流式细胞
  • IP免疫沉淀
  • E酶联免疫吸附法
  • DB免疫斑点法
  • ChIP染色质免疫沉淀
  • GICA胶体金免疫层析法
  • NC阴性对照

种属反应性

  • Hu
  • Ms小鼠
  • Rt大鼠
  • Dm果蝇
  • C线虫
  • Mk
  • Rb
  • B
  • D
  • P
  • Hm仓鼠
  • ChHm中国仓鼠
  • Chk
;

联系我们

Location :

南京市高新开发区星火路10号人才大厦C座

Phone :

400-9961-933
025-58868422

Email Address

info@sabbiotech.com