免费电话:400-9961-933
邮箱:info@sabbiotech.com
欢迎光临本站
川博智能体 English
位置: 首页 > 多克隆抗体 > CCL7 Antibody

CCL7 Antibody#43233

是否有货: Yes
产品详情

产品名称CCL7 Antibody

来源种属Rabbit

克隆性Polyclonal

纯化Antigen affinity purification.

应用IHC

种属反应性Human

特异性The antibody detects endogenous levels of total CCL7 protein.

免疫原类型peptide

免疫原描述Synthetic peptide of human CCL7

基因/蛋白名称CCL7

标记Unconjugated

别名FIC; MARC; MCP3; NC28; MCP-3; SCYA6; SCYA7

数据库入口号Swiss-Prot#: P80098
Gene ID: 6354

Uniprot P80098

浓度0.8mg/ml

配方Rabbit IgG in pH7.4 PBS, 0.05% NaN3, 40% Glycerol.

保存Store at -20˚C

应用详情

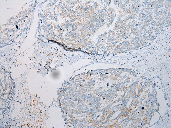
Immunohistochemistry: 1:100-1:200
Immunohistochemical analysis of paraffin-embedded Human Liver cancer tissue using #43233 at dilution 1/200.
This gene encodes monocyte chemotactic protein 3, a secreted chemokine which attracts macrophages during inflammation and metastasis. It is a member of the C-C subfamily of chemokines which are characterized by having two adjacent cysteine residues. The protein is an in vivo substrate of matrix metalloproteinase 2, an enzyme which degrades components of the extracellular matrix. This gene is part of a cluster of C-C chemokine family members on chromosome 17q.

如果您使用该产品43233发表了文章,请通知我们,让我们可以引用您的文献。

et al,Characterizing dynamic tumor–immune interactions in lung adenocarcinoma through orthotopic allograft modeling. In Eur J Immunol on 2024 Oct 31 by Mingjun Shi, Tianqi Dong,et al..PMID:39479750 , (2024),
PMID: 39479750

注释

应用

  • WB免疫印迹
  • IHC免疫组化
  • IF免疫荧光
  • ICC免疫细胞化学
  • FC流式细胞
  • IP免疫沉淀
  • E酶联免疫吸附法
  • DB免疫斑点法
  • ChIP染色质免疫沉淀
  • GICA胶体金免疫层析法
  • NC阴性对照

种属反应性

  • Hu
  • Ms小鼠
  • Rt大鼠
  • Dm果蝇
  • C线虫
  • Mk
  • Rb
  • B
  • D
  • P
  • Hm仓鼠
  • ChHm中国仓鼠
  • Chk
;

联系我们

Location :

南京市高新开发区星火路10号人才大厦C座

Phone :

400-9961-933
025-58868422

Email Address

info@sabbiotech.com