免费电话:400-9961-933
邮箱:info@sabbiotech.com
欢迎光临本站
川博智能体 English
位置: 首页 > 多克隆抗体 > Stat2 Polyclonal Antibody

Stat2 Polyclonal Antibody#44126

是否有货: Yes
产品详情

产品名称Stat2 Polyclonal Antibody

来源种属Rabbit

克隆性Polyclonal

亚型IgG

应用WB;IP;IHC-p;IF

种属反应性Human;Mouse;Rat

特异性Stat2 Polyclonal Antibody detects endogenous levels of Stat2 protein.

免疫原描述The antiserum was produced against synthesized peptide derived from human STAT2.

标记Unconjugated

数据库入口号Swiss-Prot#: P52630 NCBI Gene ID:6773

计算分子量113KD

浓度1 mg/ml

配方Liquid in PBS containing 50% glycerol, 0.5% BSA and 0.02% sodium azide.

保存Store at -20˚C/1 year

应用详情

  Western Blot: 1/500 - 1/2000
Immunohistochemistry: 1/100 - 1/300

Western Blot analysis of various cells using Stat2 Polyclonal Antibody
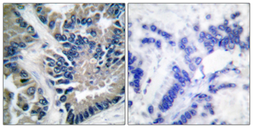
Immunohistochemistry analysis of paraffin-embedded human lung carcinoma tissue, using STAT2 Antibody.

如果您使用该产品44126发表了文章,请通知我们,让我们可以引用您的文献。

et al,Portulaca oleracea L. Extract and Its Alkaloid Oleracein E Alleviates Cardiac Remodeling and Heart Failure in Mice by Targeting STAT2 Through the MAPK Signaling … , (2025),
PMID: 40289247

注释

应用

  • WB免疫印迹
  • IHC免疫组化
  • IF免疫荧光
  • ICC免疫细胞化学
  • FC流式细胞
  • IP免疫沉淀
  • E酶联免疫吸附法
  • DB免疫斑点法
  • ChIP染色质免疫沉淀
  • GICA胶体金免疫层析法
  • NC阴性对照

种属反应性

  • Hu
  • Ms小鼠
  • Rt大鼠
  • Dm果蝇
  • C线虫
  • Mk
  • Rb
  • B
  • D
  • P
  • Hm仓鼠
  • ChHm中国仓鼠
  • Chk
;

联系我们

Location :

南京市高新开发区星火路10号人才大厦C座

Phone :

400-9961-933
025-58868422

Email Address

info@sabbiotech.com