免费电话:400-9961-933
邮箱:info@sabbiotech.com
欢迎光临本站
川博智能体 English
位置: 首页 > 多克隆抗体 > NAV2 Rabbit Polyclonal Antibody

NAV2 Rabbit Polyclonal Antibody#46090

是否有货: Yes
产品详情

产品名称NAV2 Rabbit Polyclonal Antibody

来源种属Rabbit

克隆性Polyclonal

亚型IgG

纯化Affinity purification

应用WB,IHC,IF

种属反应性Human

免疫原描述Recombinant fusion protein of human NAV2 (NP_660093.2).

标记Unconjugated

别名NAV2;HELAD1;POMFIL2;RAINB1;STEERIN2;UNC53H2

数据库入口号Swiss Prot:Q8IVL1
GeneID:89797

Uniprot Q8IVL1

计算分子量268kDa

实际分子量100kDa

配方Buffer: PBS with 0.02% sodium azide,50% glycerol,pH7.3.

保存Store at -20˚C. Avoid freeze / thaw cycles.

应用详情
WB 1:500 - 1:2000
IHC 1:50 - 1:100
IF 1:50 - 1:100
Western blot analysis of extracts of various cell lines, using NAV2 at 1:3000 dilution.
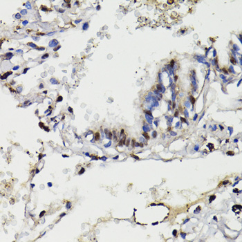
Immunohistochemistry of paraffin-embedded human lung using NAV2 at dilution of 1:100 (40x lens).
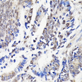
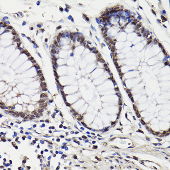
Immunohistochemistry of paraffin-embedded human colon using NAV2 at dilution of 1:100 (40x lens).
Immunohistochemistry of paraffin-embedded human colon carcinoma using NAV2 at dilution of 1:100 (40x lens).
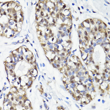
Immunohistochemistry of paraffin-embedded human breast cancer using NAV2 at dilution of 1:100 (40x lens).
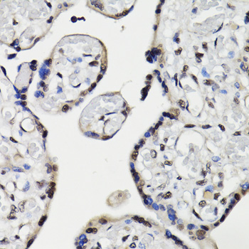
Immunohistochemistry of paraffin-embedded human placenta using NAV2 at dilution of 1:100 (40x lens).
This gene encodes a member of the neuron navigator gene family, which may play a role in cellular growth and migration. Multiple transcript variants encoding different isoforms have been found for this gene.

如果您使用该产品46090发表了文章,请通知我们,让我们可以引用您的文献。

et al,GP73-dependent regulation of exosome biogenesis promotes colorectal cancer liver metastasis , (2025),
PMID: 40414849

注释

应用

  • WB免疫印迹
  • IHC免疫组化
  • IF免疫荧光
  • ICC免疫细胞化学
  • FC流式细胞
  • IP免疫沉淀
  • E酶联免疫吸附法
  • DB免疫斑点法
  • ChIP染色质免疫沉淀
  • GICA胶体金免疫层析法
  • NC阴性对照

种属反应性

  • Hu
  • Ms小鼠
  • Rt大鼠
  • Dm果蝇
  • C线虫
  • Mk
  • Rb
  • B
  • D
  • P
  • Hm仓鼠
  • ChHm中国仓鼠
  • Chk
;

联系我们

Location :

南京市高新开发区星火路10号人才大厦C座

Phone :

400-9961-933
025-58868422

Email Address

info@sabbiotech.com