免费电话:400-9961-933
邮箱:info@sabbiotech.com
欢迎光临本站
川博智能体 English
位置: 首页 > 重组兔单抗 > Hes1 Rabbit mAb

Hes1 Rabbit mAb#49016

是否有货: Yes
产品详情

产品名称Hes1 Rabbit mAb

克隆号SC06-21

来源种属Recombinant Rabbit

克隆性 Monoclonal antibody

纯化ProA affinity purified

应用WB, ICC/IF, IHC, FC

种属反应性Human;Mouse;Rat

免疫原描述recombinant protein

标记Unconjugated

别名bHLHb39 antibody
C-HAIRY1 antibody
c-hairy1A antibody
Class B basic helix-loop-helix protein 39 antibody
FLJ20408 antibody
Hairy and enhancer of split 1 (Drosophila) antibody
Hairy and enhancer of split 1 antibody
Hairy homolog (Drosophila) antibody
Hairy homolog antibody
Hairy like antibody
Hairy, Drosophila, homolog of antibody
Hairy-like protein antibody
Hairy/enhancer of split, Drosophila, homolog of, 1 antibody
HAIRY1 antibody
HES-1 antibody
hes1 antibody
Hes1 hairy and enhancer of split 1 (Drosophila) antibody
HES1_HUMAN antibody
HHL antibody
HL antibody
HRY antibody
MGC129109 antibody
OTTHUMP00000209031 antibody
RHL antibody
Transcription factor HES-1 antibody

数据库入口号Swiss-Prot#:Q14469

Uniprot Q14469

计算分子量30 kDa

配方1*TBS (pH7.4), 1%BSA, 40%Glycerol. Preservative: 0.05% Sodium Azide.

保存Store at -20˚C

应用详情
WB: 1:1,000
IHC: 1:50-1:200
ICC: 1:100-1:500

FC: 1:50-1:100
Western blot analysis of Hes1 on different lysates using anti-Hes1 antibody at 1/1,000 dilution. Positive control: Lane 1: MCF-7 Lane 2: SH-SY-5Y
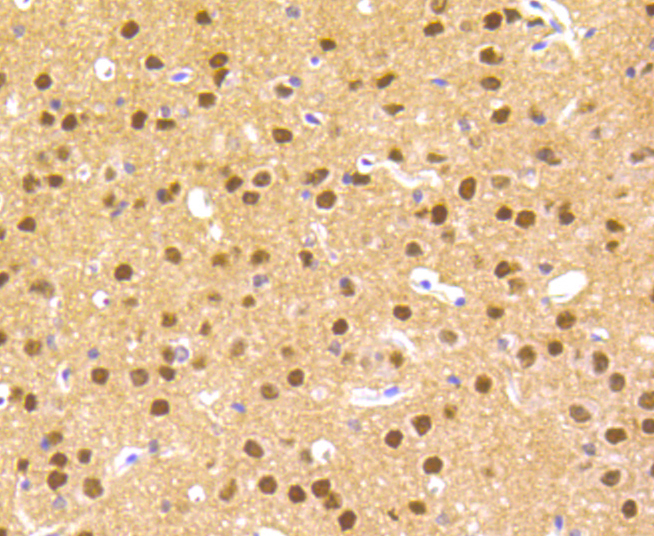
Immunohistochemical analysis of paraffin-embedded mouse brain tissue using anti-Hes1 antibody. Counter stained with hematoxylin.
ICC staining Hes1 in Hela cells (green). The nuclear counter stain is DAPI (blue). Cells were fixed in paraformaldehyde, permeabilised with 0.25% Triton X100/PBS.
ICC staining Hes1 in 293 cells (green). The nuclear counter stain is DAPI (blue). Cells were fixed in paraformaldehyde, permeabilised with 0.25% Triton X100/PBS.
Flow cytometric analysis of sh-sy-5y cells with Hes1 antibody at 1/50 dilution (red) compared with an unlabelled control (cells without incubation with primary antibody; black). Alexa Fluor 488-conjugated goat anti rabbit IgG was used as the secondary antibody.
The Drosophila Hairy and enhancer of split genes encode basic helix-loop-helix (bHLH) transcriptional repressors that function in the Notch signaling pathway and control segmentation and neural development during embryogenesis. The mammalian homolog of Drosophila Hairy and enhancer of split are the HES gene family members HES1-6, which also encode bHLH transcriptional repressors that regulate myogenesis and neurogenesis. The HES family members form a complex with TLE, the mammalian homolog of groucho, and this interaction is mediated by the carboxy-terminal WRPW motif of the HES proteins. The HES/TLE complex functions by directly binding to DNA instead of interfering with activator proteins. Most HES family members, including HES1 and HES5, preferentially bind to the N box (CACNAG) as opposed to the E box (CANNTG). HES2 binds to both N and E box sites, while HES6 does not bind DNA. Rather, HES6 inhibits HES1 activity, thereby promoting transcription. HES1 and HES2 are expressed in a variety of adult and embryonic tissues.

如果您使用该产品49016发表了文章,请通知我们,让我们可以引用您的文献。

et al,Unraveling the Oncogenic Characteristics of the Cytolinker, Plectin, in Esophageal Squamous Cell Carcinoma , (2025),
PMID: 40449847

注释

应用

  • WB免疫印迹
  • IHC免疫组化
  • IF免疫荧光
  • ICC免疫细胞化学
  • FC流式细胞
  • IP免疫沉淀
  • E酶联免疫吸附法
  • DB免疫斑点法
  • ChIP染色质免疫沉淀
  • GICA胶体金免疫层析法
  • NC阴性对照

种属反应性

  • Hu
  • Ms小鼠
  • Rt大鼠
  • Dm果蝇
  • C线虫
  • Mk
  • Rb
  • B
  • D
  • P
  • Hm仓鼠
  • ChHm中国仓鼠
  • Chk
;

联系我们

Location :

南京市高新开发区星火路10号人才大厦C座

Phone :

400-9961-933
025-58868422

Email Address

info@sabbiotech.com