免费电话:400-9961-933
邮箱:info@sabbiotech.com
欢迎光临本站
川博智能体 English
位置: 首页 > 重组兔单抗 > PDX1 Rabbit mAb

PDX1 Rabbit mAb#49689

是否有货: Yes
产品详情

产品名称PDX1 Rabbit mAb

来源种属Recombinant Rabbit

克隆性 Monoclonal antibody

纯化ProA affinity purified

应用WB, IHC, ICC/IF

种属反应性Human

免疫原描述Recombinant protein

标记Unconjugated

别名Glucose sensitive factor antibody
Glucose-sensitive factor antibody
GSF antibody
IDX 1 antibody
IDX-1 antibody
IDX1 antibody
Insulin promoter factor 1 antibody
Insulin promoter factor 1 homeodomain transcription factor antibody
Insulin upstream factor 1 antibody
IPF 1 antibody
IPF-1 antibody
IPF1 antibody
Islet/duodenum homeobox 1 antibody
Islet/duodenum homeobox-1 antibody
IUF 1 antibody
IUF-1 antibody
IUF1 antibody
MODY4 antibody
Pancreas/duodenum homeobox 1 antibody
Pancreas/duodenum homeobox protein 1 antibody
pancreatic and duodenal homeobox P antibody
PDX 1 antibody
PDX-1 antibody
PDX1 antibody
PDX1_HUMAN antibody
Somatostatin transactivating factor 1 antibody
Somatostatin-transactivating factor 1 antibody
STF 1 antibody
STF-1 antibody
STF1 antibody

数据库入口号Swiss-Prot#:P52945

Uniprot P52945

配方1*TBS (pH7.4), 1%BSA, 40%Glycerol. Preservative: 0.05% Sodium Azide.

保存Store at -20˚C

应用详情

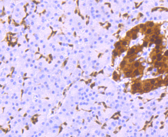
IHC: 1:50-1:200
ICC/IF: 1:50-1:200

Immunohistochemical analysis of paraffin-embedded human pancreas tissue using anti-PDX1 antibody. Counter stained with hematoxylin.
IF analysis of paraffin-embedded human pancreas tissue using anti-PDX1 antibody (green��. The nuclear counter stain is DAPI (blue).
Activates insulin, somatostatin, glucokinase, islet amyloid polypeptide and glucose transporter type 2 gene transcription. Particularly involved in glucose-dependent regulation of insulin gene transcription. Binds preferentially the DNA motif 5'-[CT]TAAT[TG]-3'. During development, specifies the early pancreatic epithelium, permitting its proliferation, branching and subsequent differentiation. At adult stage, required for maintaining the hormone-producing phenotype of the beta-cell.

如果您使用该产品49689发表了文章,请通知我们,让我们可以引用您的文献。

et al,Therapeutic effects and mechanisms of Xinmaitong formula for type 2 diabetes mellitus via GLP-1R signaling , (2025),
PMID: 40271065

注释

应用

  • WB免疫印迹
  • IHC免疫组化
  • IF免疫荧光
  • ICC免疫细胞化学
  • FC流式细胞
  • IP免疫沉淀
  • E酶联免疫吸附法
  • DB免疫斑点法
  • ChIP染色质免疫沉淀
  • GICA胶体金免疫层析法
  • NC阴性对照

种属反应性

  • Hu
  • Ms小鼠
  • Rt大鼠
  • Dm果蝇
  • C线虫
  • Mk
  • Rb
  • B
  • D
  • P
  • Hm仓鼠
  • ChHm中国仓鼠
  • Chk
;

联系我们

Location :

南京市高新开发区星火路10号人才大厦C座

Phone :

400-9961-933
025-58868422

Email Address

info@sabbiotech.com