免费电话:400-9961-933
邮箱:info@sabbiotech.com
欢迎光临本站
川博智能体 English
位置: 首页 > 多克隆抗体 > Slug Rabbit Polyclonal Antibody

Slug Rabbit Polyclonal Antibody#53574

是否有货: Yes
产品详情

产品名称Slug Rabbit Polyclonal Antibody

来源种属Rabbit

克隆性Polyclonal

亚型IgG

纯化Affinity purification

应用WB,IHC

种属反应性Human;Mouse;Rat

免疫原描述Recombinant fusion protein of human Slug (NP_003059.1).

标记Unconjugated

别名SNAI2;SLUG;SLUGH;SLUGH1;SNAIL2;WS2D

数据库入口号Swiss Prot:O43623
GeneID:6591

Uniprot O43623

计算分子量29kDa

配方Buffer: PBS with 0.02% sodium azide,50% glycerol,pH7.3.

保存Store at -20˚C. Avoid freeze / thaw cycles.

应用详情
WB 1:2000 - 1:5000
IHC 1:50 - 1:200
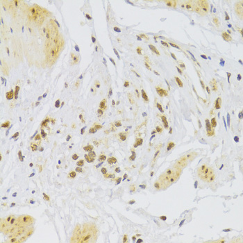
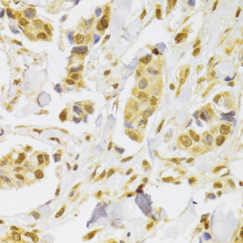
Immunohistochemistry of paraffin-embedded human liver damage using Slug at dilution of 1:100 (40x lens).
Immunohistochemistry of paraffin-embedded human breast cancer using Slug at dilution of 1:100 (40x lens).
Immunohistochemistry of paraffin-embedded human stomach using Slug at dilution of 1:100 (40x lens).
This gene encodes a member of the Snail family of C2H2-type zinc finger transcription factors. The encoded protein acts as a transcriptional repressor that binds to E-box motifs and is also likely to repress E-cadherin transcription in breast carcinoma. This protein is involved in epithelial-mesenchymal transitions and has antiapoptotic activity. Mutations in this gene may be associated with sporatic cases of neural tube defects.

如果您使用该产品53574发表了文章,请通知我们,让我们可以引用您的文献。

et al,FGL1-mediated lymph node metastasis in stage T1 non-small cell lung cancer: therapeutic targeting , (2025),
PMID: 41024301

注释

应用

  • WB免疫印迹
  • IHC免疫组化
  • IF免疫荧光
  • ICC免疫细胞化学
  • FC流式细胞
  • IP免疫沉淀
  • E酶联免疫吸附法
  • DB免疫斑点法
  • ChIP染色质免疫沉淀
  • GICA胶体金免疫层析法
  • NC阴性对照

种属反应性

  • Hu
  • Ms小鼠
  • Rt大鼠
  • Dm果蝇
  • C线虫
  • Mk
  • Rb
  • B
  • D
  • P
  • Hm仓鼠
  • ChHm中国仓鼠
  • Chk
;

联系我们

Location :

南京市高新开发区星火路10号人才大厦C座

Phone :

400-9961-933
025-58868422

Email Address

info@sabbiotech.com