免费电话:400-9961-933
邮箱:info@sabbiotech.com
欢迎光临本站
川博智能体 English
位置: 首页 > 多克隆抗体 > GRIN2B Rabbit Polyclonal Antibody

GRIN2B Rabbit Polyclonal Antibody#54739

是否有货: Yes
产品详情

产品名称GRIN2B Rabbit Polyclonal Antibody

来源种属Rabbit

克隆性Polyclonal

亚型IgG

纯化Affinity purification

应用WB,IHC,IF

种属反应性Human;Mouse;Rat

免疫原描述A synthetic peptide of human GRIN2B (NP_000825.2).

标记Unconjugated

别名GRIN2B;EIEE27;GluN2B;MRD6;NMDAR2B;NR2B;hNR3

数据库入口号Uniprot:Q13224
GeneID:2904

Uniprot Q13224

Gene ID 2904

计算分子量166kDa

实际分子量190KDa

配方PBS with 0.02% sodium azide,50% glycerol,pH7.3.

保存Store at -20˚C. Avoid freeze / thaw cycles.

应用详情
WB 1:500 - 1:2000
IHC 1:50 - 1:200
IF 1:50 - 1:200
Western blot analysis of extracts of various cell lines, using GRIN2B Rabbit pAb.
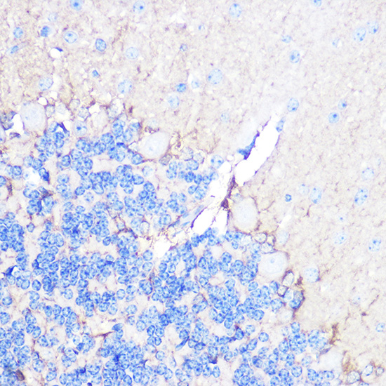
Immunohistochemistry of paraffin-embedded mouse brain using GRIN2B Rabbit pAb.
Immunofluorescence analysis of Neuro-2a cells using GRIN2B Rabbit pAb.
Immunofluorescence analysis of SH-SY5Y cells using GRIN2B Rabbit pAb.
N-methyl-D-aspartate (NMDA) receptors are a class of ionotropic glutamate receptors. NMDA receptor channel has been shown to be involved in long-term potentiation, an activity-dependent increase in the efficiency of synaptic transmission thought to underlie certain kinds of memory and learning. NMDA receptor channels are heteromers composed of three different subunits: NR1 (GRIN1), NR2 (GRIN2A, GRIN2B, GRIN2C, or GRIN2D) and NR3 (GRIN3A or GRIN3B). The NR2 subunit acts as the agonist binding site for glutamate. This receptor is the predominant excitatory neurotransmitter receptor in the mammalian brain.

如果您使用该产品54739发表了文章,请通知我们,让我们可以引用您的文献。

et al,Site-specific seeding of Lewy pathology induces distinct pre-motor cellular and dendritic vulnerabilities in the cortex , (2024),
PMID:

注释

应用

  • WB免疫印迹
  • IHC免疫组化
  • IF免疫荧光
  • ICC免疫细胞化学
  • FC流式细胞
  • IP免疫沉淀
  • E酶联免疫吸附法
  • DB免疫斑点法
  • ChIP染色质免疫沉淀
  • GICA胶体金免疫层析法
  • NC阴性对照

种属反应性

  • Hu
  • Ms小鼠
  • Rt大鼠
  • Dm果蝇
  • C线虫
  • Mk
  • Rb
  • B
  • D
  • P
  • Hm仓鼠
  • ChHm中国仓鼠
  • Chk
;

联系我们

Location :

南京市高新开发区星火路10号人才大厦C座

Phone :

400-9961-933
025-58868422

Email Address

info@sabbiotech.com