免费电话:400-9961-933
邮箱:info@sabbiotech.com
欢迎光临本站
川博智能体 English
位置: 首页 > 多克隆抗体 > Snail Rabbit Polyclonal Antibody

Snail Rabbit Polyclonal Antibody#54899

是否有货: Yes
产品详情

产品名称Snail Rabbit Polyclonal Antibody

来源种属Rabbit

克隆性Polyclonal

亚型IgG

纯化Affinity purification

应用WB,IHC,IF

种属反应性Human;Mouse;Rat

免疫原描述A synthetic peptide of human Snail (NP_005976.2).

标记Unconjugated

别名SNAI1;SLUGH2;SNA;SNAH;SNAIL;SNAIL1;dJ710H13.1

数据库入口号Swiss Prot:O95863
GeneID:6615

Uniprot O95863

计算分子量29kDa

实际分子量29kDa

配方Buffer: PBS with 0.02% sodium azide,50% glycerol,pH7.3.

保存Store at -20˚C. Avoid freeze / thaw cycles.

应用详情
WB 1:500 - 1:2000
IHC 1:50 - 1:100
IF 1:50 - 1:200
Western blot analysis of extracts of various cell lines, using Snail at 1:1000 dilution.
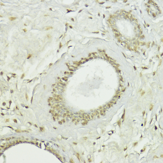
Immunohistochemistry of paraffin-embedded human breast using Snail at dilution of 1:100 (40x lens).
Immunohistochemistry of paraffin-embedded human colon using Snail at dilution of 1:100 (40x lens).
Immunofluorescence analysis of C6 cells using Snail at dilution of 1:100. Blue: DAPI for nuclear staining.
Immunofluorescence analysis of U-2 OS cells using Snail at dilution of 1:100. Blue: DAPI for nuclear staining.
The Drosophila embryonic protein snail is a zinc finger transcriptional repressor which downregulates the expression of ectodermal genes within the mesoderm. The nuclear protein encoded by this gene is structurally similar to the Drosophila snail protein, and is also thought to be critical for mesoderm formation in the developing embryo. At least two variants of a similar processed pseudogene have been found on chromosome 2.

如果您使用该产品54899发表了文章,请通知我们,让我们可以引用您的文献。

et al,FGL1-mediated lymph node metastasis in stage T1 non-small cell lung cancer: therapeutic targeting , (2025),
PMID: 41024301

注释

应用

  • WB免疫印迹
  • IHC免疫组化
  • IF免疫荧光
  • ICC免疫细胞化学
  • FC流式细胞
  • IP免疫沉淀
  • E酶联免疫吸附法
  • DB免疫斑点法
  • ChIP染色质免疫沉淀
  • GICA胶体金免疫层析法
  • NC阴性对照

种属反应性

  • Hu
  • Ms小鼠
  • Rt大鼠
  • Dm果蝇
  • C线虫
  • Mk
  • Rb
  • B
  • D
  • P
  • Hm仓鼠
  • ChHm中国仓鼠
  • Chk
;

联系我们

Location :

南京市高新开发区星火路10号人才大厦C座

Phone :

400-9961-933
025-58868422

Email Address

info@sabbiotech.com