免费电话:400-9961-933
邮箱:info@sabbiotech.com
欢迎光临本站
川博智能体 English
位置: 首页 > 多克隆抗体 > CCL8 Rabbit Polyclonal Antibody

CCL8 Rabbit Polyclonal Antibody#55062

是否有货: Yes
产品详情

产品名称CCL8 Rabbit Polyclonal Antibody

来源种属Rabbit

克隆性Polyclonal

亚型IgG

纯化Affinity purification

应用WB,IHC,IF

种属反应性Human;Mouse

免疫原描述Recombinant fusion protein of human CCL8 (NP_005614.2).

标记Unconjugated

别名CCL8;HC14;MCP-2;MCP2;SCYA10;SCYA8

数据库入口号Swiss Prot:P80075
GeneID:6355

Uniprot P80075

计算分子量11kDa

配方Buffer: PBS with 0.02% sodium azide,50% glycerol,pH7.3.

保存Store at -20˚C. Avoid freeze / thaw cycles.

应用详情
WB 1:500 - 1:2000
IHC 1:50 - 1:100
IF 1:50 - 1:100
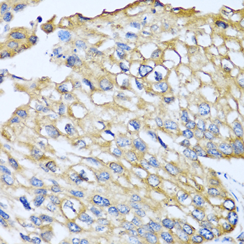
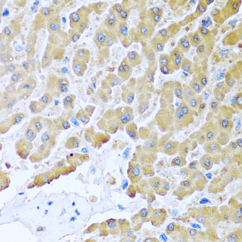
Immunohistochemistry of paraffin-embedded human liver using CCL8 at dilution of 1:100 (40x lens).
Immunohistochemistry of paraffin-embedded human prostate cancer using CCL8 at dilution of 1:100 (40x lens).
Immunohistochemistry of paraffin-embedded human stomach using CCL8 at dilution of 1:100 (40x lens).
This antimicrobial gene is one of several chemokine genes clustered on the q-arm of chromosome 17. Chemokines form a superfamily of secreted proteins involved in immunoregulatory and inflammatory processes. The superfamily is divided into four subfamilies based on the arrangement of N-terminal cysteine residues of the mature peptide. This chemokine is a member of the CC subfamily which is characterized by two adjacent cysteine residues. This cytokine displays chemotactic activity for monocytes, lymphocytes, basophils and eosinophils. By recruiting leukocytes to sites of inflammation this cytokine may contribute to tumor-associated leukocyte infiltration and to the antiviral state against HIV infection.

如果您使用该产品55062发表了文章,请通知我们,让我们可以引用您的文献。

et al,Tumor-initiating cells escape tumor immunity via CCL8 from tumor-associated macrophages in mice. , (2025),
PMID: 39774471

注释

应用

  • WB免疫印迹
  • IHC免疫组化
  • IF免疫荧光
  • ICC免疫细胞化学
  • FC流式细胞
  • IP免疫沉淀
  • E酶联免疫吸附法
  • DB免疫斑点法
  • ChIP染色质免疫沉淀
  • GICA胶体金免疫层析法
  • NC阴性对照

种属反应性

  • Hu
  • Ms小鼠
  • Rt大鼠
  • Dm果蝇
  • C线虫
  • Mk
  • Rb
  • B
  • D
  • P
  • Hm仓鼠
  • ChHm中国仓鼠
  • Chk
;

联系我们

Location :

南京市高新开发区星火路10号人才大厦C座

Phone :

400-9961-933
025-58868422

Email Address

info@sabbiotech.com