免费电话:400-9961-933
邮箱:info@sabbiotech.com
欢迎光临本站
川博智能体 English
位置: 首页 > 重组兔单抗 > Nrf2 Rabbit mAb

Nrf2 Rabbit mAb#58606

是否有货: 有货
产品详情

产品名称Nrf2 Rabbit mAb

来源种属Rabbit

克隆性Monoclonal

亚型Rabbit IgG

纯化Affinity-chromatography

应用WB;IHC;ICC/IF;IP;CHIP

种属反应性Human;Mouse

特异性Nrf2 Antibody detects endogenous levels of total Nrf2

免疫原描述A synthesized peptide derived from human Nrf2

基因/蛋白名称NFE2L2

标记Unconjugated

别名Nuclear factor erythroid 2-related factor 2; Nuclear factor, erythroid derived 2, like 2; NFE2-related factor 2; NRF2; NF-E2-related factor 2; NFE2L2; NF2L2; HEBP1

数据库入口号Q16236

Uniprot Q16236

配方Rabbit IgG in phosphate buffered saline , pH 7.4, 150mM NaCl, 0.02% sodium azide and 50% glycerol.

保存Store at +4˚C short term. Store at -20˚C long term. Avoid freeze / thaw cycle.

应用详情
WB 1:500~1:2000 IHC 1:50~1:200 ICC/IF 1:100~1:500 IP 1:50
Western blot analysis of Nrf2 expression in 293T cell treated with arsenite.
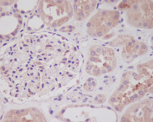
Immunohistochemical analysis of paraffin-embedded human kidney, using Nrf2 Antibody.
Immunofluorescent analysis of Hela cells, using Nrf2 Antibody.

如果您使用该产品58606发表了文章,请通知我们,让我们可以引用您的文献。

et al,From spheroid to sprouting: microenvironmental modulation boosts hair follicle organoid morphogenesis in 3D culture , (2025),
PMID: 40464526

注释

应用

  • WB免疫印迹
  • IHC免疫组化
  • IF免疫荧光
  • ICC免疫细胞化学
  • FC流式细胞
  • IP免疫沉淀
  • E酶联免疫吸附法
  • DB免疫斑点法
  • ChIP染色质免疫沉淀
  • GICA胶体金免疫层析法
  • NC阴性对照

种属反应性

  • Hu
  • Ms小鼠
  • Rt大鼠
  • Dm果蝇
  • C线虫
  • Mk
  • Rb
  • B
  • D
  • P
  • Hm仓鼠
  • ChHm中国仓鼠
  • Chk
;

联系我们

Location :

南京市高新开发区星火路10号人才大厦C座

Phone :

400-9961-933
025-58868422

Email Address

info@sabbiotech.com