免费电话:400-9961-933
邮箱:info@sabbiotech.com
欢迎光临本站
川博智能体 English
位置: 首页 > 磷酸化抗体 > Src (Phospho-Tyr529) Rabbit mAb

Src (Phospho-Tyr529) Rabbit mAb#60291

是否有货: Yes
产品详情

产品名称Src (Phospho-Tyr529) Rabbit mAb

来源种属Recombinant Rabbit

克隆性Monoclonal

亚型Rabbit IgG

纯化Affinity-chromatography

应用WB IHC ICC/IF

种属反应性Human;Mouse;Rat

免疫原描述A synthesized peptide derived from human Phospho-Src (Y529)

标记Unconjugated

Uniprot P12931

计算分子量60kDa

实际分子量60kDa

配方Rabbit IgG in phosphate buffered saline , pH 7.4, 150mM NaCl, 0.02% sodium azide and 50% glycerol.

保存Store at +4°C short term. Store at -20°C long term. Avoid freeze / thaw cycle.

应用详情

WB 1:500~1:2000
ICC/IF 1:50~1:200

All lanes : Src (Phospho-Y529) Rabbit mAb at 1/1000 dilution
Lane 1 : A431 treated with Lambda Protein Phosphatase for 1 hour whole cell
Lane 2 : A431 whole cell lysates
Lane 3 : 293 treated with Lambda Protein Phosphatase for 1 hour whole cell
Lane 4 : 293 whole cell lysates
Lysates/proteins at 20 µg per lane.
Secondary
All lanes : Goat Anti-Rabbit IgG H&L (HRP) at 1/20000 dilution
Predicted band size: 60 kDa
Observed band size: 60 kDa
Exposure time: 7 seconds
All lanes : Src (Phospho-Y529) Rabbit mAb at 1/1000 dilution
Lane 1 : Mouse heart lysates
Lane 2 : Rat heart lysates
Lysates/proteins at 20 µg per lane.
Secondary
All lanes : Goat Anti-Rabbit IgG H&L (HRP) at 1/20000 dilution
Predicted band size: 60 kDa
Observed band size: 60 kDa
Exposure time: 9 seconds
All lanes:Src (Phospho-Tyr529) Rabbit mAb at 1/1k dilution
Lane 1 : Wild-type A549 cell lysate
Lane 2 : Src (Phospho-Tyr529) Rabbit mAb knockdown A549 cell lysate
Lysates/proteins at 20 µg per lane.
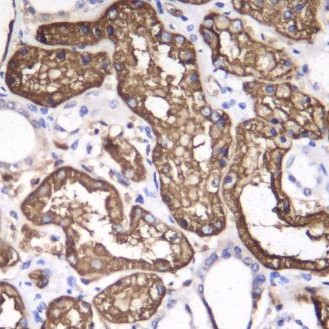
Formalin-fixed, paraffin-embedded human kidney tissue stained for Src (Phospho-Y529) using 60291 at 1/100 dilution in immunohistochemical analysis.
Immunocytochemistry/ Immunofluorescence Src (Phospho-Y529) antibody (60291)
ICC/IF staining of Src (Phospho-Y529) in Hela cells. Cells were fixed with 4% Paraformaldehyde permeabilized with 0.1% Triton X-100.
Samples were incubated with 60291 at a working dilution of 1/100. The secondary antibody was Alexa Fluor® 488 goat anti rabbit, used at a dilution of 1/500.
Nuclei were counterstained with DAPI.

Non-receptor protein tyrosine kinase that plays pivotal roles in numerous cellular processes such as proliferation, migration, and transformation. In concert with PTK2B, plays an important role in osteoclastic bone resorption. Both the formation of a SRC-PTK2B complex, and SRC kinase activity are necessary for this function.

如果您使用该产品60291发表了文章,请通知我们,让我们可以引用您的文献。

et al,Discovery of a Novel Src Homology-2 Domain Containing Protein Tyrosine Phosphatase-2 (SHP2) and Cyclin-Dependent Kinase 4 (CDK4) Dual Inhibitor for the Treatment of Triple-Negative Breast Cancer , (2022),
PMID:
et al,Multifunctional Inorganic-Nanosheets-Based Nanohydrogel for Periodontal Bone Regeneration via Antibacterial and Anti-Ferroptotic Immunomodulation , (2025),
PMID: 41250788

注释

应用

  • WB免疫印迹
  • IHC免疫组化
  • IF免疫荧光
  • ICC免疫细胞化学
  • FC流式细胞
  • IP免疫沉淀
  • E酶联免疫吸附法
  • DB免疫斑点法
  • ChIP染色质免疫沉淀
  • GICA胶体金免疫层析法
  • NC阴性对照

种属反应性

  • Hu
  • Ms小鼠
  • Rt大鼠
  • Dm果蝇
  • C线虫
  • Mk
  • Rb
  • B
  • D
  • P
  • Hm仓鼠
  • ChHm中国仓鼠
  • Chk
;

联系我们

Location :

南京市高新开发区星火路10号人才大厦C座

Phone :

400-9961-933
025-58868422

Email Address

info@sabbiotech.com